Skip Navigation
Skip to contents

J Musculoskelet Trauma : Journal of Musculoskeletal Trauma

OPEN ACCESS

Articles

Page Path
HOME > J Musculoskelet Trauma > Volume 24(1); 2011 > Article
Original Article
Treatment of Distal Clavicle Fracture Using Hook Plate
Su-Han Ahn, M.D., Hyeong-Jo Yoon, M.D., Kwang-Yeol Kim, M.D., Hyung-Chun Kim, M.D., In-Yeol Kim, M.D.
Journal of the Korean Fracture Society 2011;24(1):48-54.
DOI: https://doi.org/10.12671/jkfs.2011.24.1.48
Published online: January 19, 2011

Department of Orthopedic Surgery, Wallace Memorial Baptist Hospital, Busan, Korea.

Address reprint requests to: Hyeong-Jo Yoon, M.D. Department of Orthopedic Surgery, Wallace Memorial Baptist Hospital, 374-75, Namsan-dong, Geumjung-gu, Busan 609-728, Korea. Tel: 82-51-580-1422·Fax: 82-51-583-2568, paskal1023@hanmail.net
• Received: July 15, 2010   • Revised: August 14, 2010   • Accepted: October 26, 2010

Copyright © 2011 The Korean Fracture Society

  • 491 Views
  • 7 Download
  • 1 Crossref
prev next
  • Purpose
    To evaluate the result of distal clavicle fracture treated by Hook plate (LCP clavicle hook plate, Synthes®, Paoli, Switzerland).
  • Materials and Methods
    10 patients with distal clavicle fracture treated by Hook plate from April 2008 to March 2010 were analyzed. The average follow-up period was 10 (range 4 to 26) months. The reduction was qualified and evaluated according to the immediate post-operative, final radiographs. We analyze the result by UCLA score and Kona's functional evaluation.
  • Results
    By radiologic evaluation, all cases showed anatomical reduction and solid union. By Kona's functional evaluation, there are 7 cases with excellent results, 3 cases with good results. The UCLA score was average 33.3 (range 29 to 35) points followed by 6 excellent cases, 4 good cases. As complication, 1 case showed post-operative clavicle shaft fracture and 1 case showed acromial osteolysis on X-rays. We found no complications such as skin irritation, infection, loosening of screws, and plate failure.
  • Conclusion
    The Hook plate fixation for distal clavicle fracture is considered effective method for satisfactory reduction and rigid fixation, a lower incidence of nonunion and excellent clinical result.
  • 1. Ballmer FT, Gerber C. Coracoclavicular screw fixation for unstable fractures of the distal clavicle. A report of five cases. J Bone Joint Surg Br, 1991;73:291-294.ArticlePDF
  • 2. Chun JM, Kim SY, Lee KW, Shin SJ, Kim EG. Modified tenson band fixation for unstable fracture of the distal clavicle. J Korean Orthop Assoc, 2002;37:416-420.ArticlePDF
  • 3. Craig EV. Rockwood CA, Green DP, Bucholz RW, Heckman JD. Fracture of the clavicle. In: Fractures in adults, 1996;4th ed. Philadelphia, Lippincott-Raven. 1109-1161.
  • 4. Edwards DJ, Kavanagh TG, Flannery MC. Fractures of the distal clavicle: a case for fixation. Injury, 1992;23:44-46.Article
  • 5. Ellman H, Hanker G, Bayer M. Repair of the rotator cuff. End-result study of factors influencing reconstruction. J Bone Joint Surg Am, 1986;68:1136-1144.Article
  • 6. Sim E, Schwarz N, Hocker K, Berzlanovich A. Repair of Complete Acromioclavicular Separations Using the Acromioclavicular-Hook Plate. Clin Orthop Relat Res, 1995;314:134-142.Article
  • 7. Eskola A, Vainionpää S, Pätiälä H, Rokkanen P. Outcome of operative treatment in fresh lateral clavicular fracture. Ann Chir Gynaecol, 1987;76:167-169.
  • 8. Fann CY, Chiu FY, Chuang TY, Chen CM, Chen TH. Transacromial knowles pin in the treatment of Neer type 2 distal clavicle fractures. A prospective evaluation of 32 cases. J Trauma, 2004;56:1102-1105.Article
  • 9. Faraj AA, Ketzer B. The use of a hook-plate in the management of acromioclavicular injuries. Report of ten cases. Acta Orthop Belg, 2001;67:448-451.
  • 10. Flinkkilä T, Ristiniemi J, Hyvönen P, Hämäläinen M. Surgical treatment of unstable fractures of the distal clavicle: a comparative study of Kirschner wire and clavicular hook plate fixation. Acta Orthop Scand, 2002;73:50-53.Article
  • 11. Goldberg JA, Bruce WJ, Sonnabend DH, Walsh WR. Type 2 fractures of the distal clavicle: a new surgical technique. J Shoulder Elbow Surg, 1997;6:380-382.Article
  • 12. Herrmann S, Schmidmaier G, Greiner S. Stabilisation of vertical unstable distal clavicular fractures (Neer 2b) using locking T-plates and suture anchors. Injury, 2009;40:236-239.Article
  • 13. Hessmann M, Kirchner R, Baumgaertel F, Gehling H, Gotzen L. Treatment of unstable distal clavicular fractures with and without lesions of the acromioclavicular joint. Injury, 1996;27:47-52.Article
  • 14. Kang HJ, Park KK, Yoon HK, Song HK, Hahn SB. T plate fixation for unstable fracture of distal clavicle. J Korean Fract Soc, 2006;19:329-334.Article
  • 15. Kao FC, Chao EK, Chen CH, Yu SW, Chen CY, Yen CY. Treatment of distal clavicle fracture using Kirschner wires and tension-band wires. J Trauma, 2001;51:522-525.Article
  • 16. Kiefer H, Claes L, Burri C, Holzwarth J. The stabilizing effect of various implants on the torn acromioclavicular joint. A biomechanical study. Arch Orthop Trauma Surg, 1986;106:42-46.
  • 17. Kim JS, Jun JH, Chung YK. Coracoclavicular screw fixation for AC dislocation and unstable distal clavicle fracture. J Korean Shoulder Elbow Soc, 1999;2:133-137.
  • 18. Kona J, Bosse MJ, Staeheli JW, Rosseau RL. Type II distal clavicle fractures: a retrospective review of surgical treatment. J Orthop Trauma, 1990;4:115-120.
  • 19. Macdonald PB, Lapointe P. Acromioclavicular and sternoclavicular joint injuries. Orthop Clin North Am, 2008;39:535-545.Article
  • 20. Mall JW, Jacobi CA, Philipp AW, Peter FJ. Surgical treatment of fractures of the distal clavicle with polydioxanone suture tension band wiring: an alternative osteosynthesis. J Orthop Sci, 2002;7:535-537.Article
  • 21. Mizue F, Shirai Y, Ito H. Surgical treatment of comminuted fractures of the distal clavicle using Wolter clavicular plates. J Nihon Med Sch, 2000;67:32-34.
  • 22. Muramatsu K, Shigetomi M, Matsunaga T, Murata Y, Taguchi T. Use of the AO hook-plate for treatment of unstable fractures of the distal clavicle. Arch Orthop Trauma Surg, 2007;127:191-194.ArticlePDF
  • 23. Neer CS 2nd. Nonunion of the clavicle. J Am Med Assoc, 1960;172:1006-1011.Article
  • 24. Neer CS 2nd. Fracture of the distal clavicle with detachment of the coracoclavicular ligaments in adults. J Trauma, 1963;3:99-110.Article
  • 25. Neer CS 2nd. Nonunion of the clavicle. J Am Med Assoc, 1960;172:1006-1011.Article
  • 26. Neviaser RJ. Injuries to the clavicle and acromioclavicular joint. Orthop Clin North Am, 1987;18:433-438.Article
  • 27. Nordqvist A, Petersson C, Redlund-Johnell I. The natural course of lateral clavicle fracture. 15 (11-21) year follow-up of 110 cases. Acta Orthop Scand, 1993;64:87-91.Article
  • 28. Park JH, Rha KW, Suh SW, Kim SK. Operative treatment of type II distal clavicle fractures. J Korean Soc Fract, 1998;11:683-689.Article
  • 29. Regel JP, Pospiech J, Aalders TA, Ruchholtz S. Intraspinal migration of a Kirschner wire 3 months after clavicular fracture fixation. Neurosurg Rev, 2002;25:110-112.ArticlePDF
  • 30. Salem KH, Schmelz A. Treatment of Tossy III acromioclavicular joint injuries using hook plates and ligament suture. J Orthop Trauma, 2009;23:565-569.Article
  • 31. Tambe AD, Motkur P, Qamar A, Drew S, Turner SM. Fractures of the distal third of the clavicle treated by hook plating. Int Orthop, 2006;30:7-10.ArticlePDF
  • 32. Wang SJ, Wong CS. Transacromial extra-articular Knowles pin fixation treatment of acute type V acromioclavicular joint injuries. J Trauma, 2008;65:424-429.Article
  • 33. Yamaguchi H, Arakawa H, Kobayashi M. Results of the Bosworth method for unstable fractures of the distal clavicle. Int Orthop, 1998;22:366-368.ArticlePDF
  • 34. Yum JK, Lee SL, Ra HJ. Mini-T plate fixation for neer type II distal clavicle fracture. J Korean Shoulder Elbow Soc, 2009;12:1-6.Article
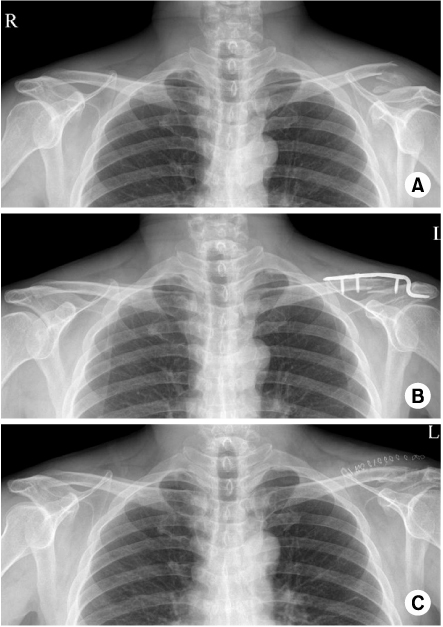
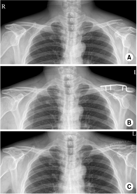
Fig. 1
(A) Preoperative radiograph of the left shoulder of a 55 year old male shows distal clavicle fracture.
(B) This is postoperative radiograph with Hook plate fixation.
(C) At 4 months follow-up, implant is removed without any complication. Bony union is achieved.
jkfs-24-48-g001.jpg
Fig. 2
(A) Preoperative radiograph of the left shoulder of a 80 year old female shows distal clavicle fracture.
(B) This is postoperative radiograph with Hook plate fixation.
(C) At 1 months follow-up, radiograph shows clavicle shaft fracture.
(D) At 6 months follow-up, the union of fracture site was found.
jkfs-24-48-g002.jpg
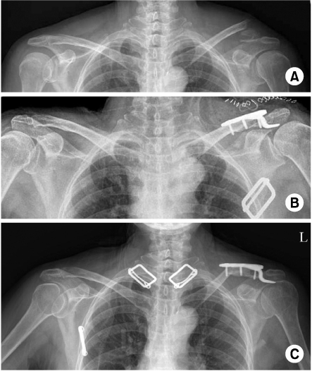
Fig. 3
(A) Preoperative radiograph of the left shoulder of a 49 year old male shows distal clavicle fracture.
(B) This is postoperative radiograph with Hook plate fixation.
(C) At 4 months follow-up, postoperative radiograph shows osteolysis of acromion by the hook of plate.
jkfs-24-48-g003.jpg
Table 1
Ucla end-result scores
jkfs-24-48-i001.jpg
Table 2
Classification of functional result by Kona
jkfs-24-48-i002.jpg
Table 3
Summary of cases
jkfs-24-48-i003.jpg

Figure & Data

REFERENCES

    Citations

    Citations to this article as recorded by  
    • Comparison of Locking Compression Plate Superior Anterior Clavicle Plate with Suture Augmentation and Hook Plate for Treatment of Distal Clavicle Fractures
      Jun-Cheol Choi, Woo-Suk Song, Woo-Sung Kim, Jeong-Muk Kim, Chan-Woong Byun
      Archives of Hand and Microsurgery.2017; 22(4): 247.     CrossRef

    • Cite
      CITE
      export Copy Download
      Close
      Download Citation
      Download a citation file in RIS format that can be imported by all major citation management software, including EndNote, ProCite, RefWorks, and Reference Manager.

      Format:
      • RIS — For EndNote, ProCite, RefWorks, and most other reference management software
      • BibTeX — For JabRef, BibDesk, and other BibTeX-specific software
      Include:
      • Citation for the content below
      Treatment of Distal Clavicle Fracture Using Hook Plate
      J Korean Fract Soc. 2011;24(1):48-54.   Published online January 31, 2011
      Close
    • XML DownloadXML Download
    Figure
    • 0
    • 1
    • 2
    We recommend
    Related articles
    Treatment of Distal Clavicle Fracture Using Hook Plate
    Image Image Image
    Fig. 1 (A) Preoperative radiograph of the left shoulder of a 55 year old male shows distal clavicle fracture. (B) This is postoperative radiograph with Hook plate fixation. (C) At 4 months follow-up, implant is removed without any complication. Bony union is achieved.
    Fig. 2 (A) Preoperative radiograph of the left shoulder of a 80 year old female shows distal clavicle fracture. (B) This is postoperative radiograph with Hook plate fixation. (C) At 1 months follow-up, radiograph shows clavicle shaft fracture. (D) At 6 months follow-up, the union of fracture site was found.
    Fig. 3 (A) Preoperative radiograph of the left shoulder of a 49 year old male shows distal clavicle fracture. (B) This is postoperative radiograph with Hook plate fixation. (C) At 4 months follow-up, postoperative radiograph shows osteolysis of acromion by the hook of plate.
    Treatment of Distal Clavicle Fracture Using Hook Plate

    Ucla end-result scores

    Classification of functional result by Kona

    Summary of cases

    Table 1 Ucla end-result scores

    Table 2 Classification of functional result by Kona

    Table 3 Summary of cases


    J Musculoskelet Trauma : Journal of Musculoskeletal Trauma
    Close layer
    TOP