To the Editor,
Sacral stress fracture is an important yet frequently underrecognized cause of buttock and low-back pain. It may be overlooked on magnetic resonance imaging (MRI) studies obtained primarily for hip or sacroiliac (SI) indications, particularly when image review is focused on intraarticular hip pathology or suspected inflammatory sacroiliitis. Because bone marrow edema in the sacral ala lies adjacent to the SI joint, it may be mistaken for SI pathology when joint margins are not deliberately assessed; preservation of the SI joint space and articular surfaces, with edema centered in the sacral wing rather than within the joint, favors a sacral stress fracture pattern. Diagnostic delay is clinically meaningful, as symptoms may persist, additional investigations may be pursued, and effective conservative management may be postponed [
1-
3]. Here, we describe two young adults without typical predisposing factors in whom the diagnosis was not identified on the initial MRI report, underscoring the value of systematic sacral review even in younger patients. In this letter, we use “stress fracture” as an umbrella term encompassing fatigue fractures (abnormal or repetitive load on otherwise normal bone) and insufficiency fractures (physiologic load on weakened bone). Given the patients’ age, the absence of fragility risk factors, and age-appropriate dual-energy X-ray absorptiometry (DXA) Z-scores, the imaging patterns are most consistent with fatigue-type sacral stress fractures, while acknowledging that borderline or low-normal 25-hydroxyvitamin D levels may represent a modifiable contributing factor rather than clear metabolic bone disease.
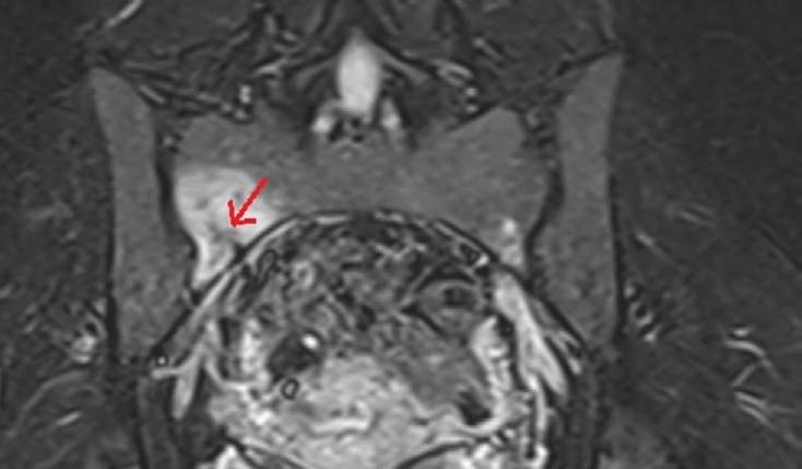
A 30-year-old female healthcare worker presented with localized deep gluteal pain. A hip MRI was performed; however, the initial report did not address the sacrum. Following clinical–radiologic correlation and targeted re-evaluation, the MRI demonstrated findings consistent with a unilateral sacral stress fracture pattern involving the sacral ala. MRI assessment included fluid-sensitive sequences covering the sacral alae, specifically coronal short tau inversion recovery (STIR) and fat-suppressed T2-weighted images with a field of view encompassing the sacrum (
Fig. 1). This appearance may be misinterpreted as nonspecific periarticular marrow edema if the sacrum is not deliberately incorporated into the imaging search pattern [
1,
3]. Laboratory testing did not suggest overt metabolic bone disease, with calcium and parathyroid hormone levels within reference ranges, borderline or low-normal 25-hydroxyvitamin D levels, and age-appropriate DXA Z-scores. The patient was treated conservatively with activity modification and use of a sitting cushion, with substantial symptomatic improvement. Symptoms improved within approximately six weeks, and she returned to baseline activity by 2 months.
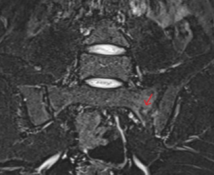
A 23-year-old male student presented with low-back pain. He denied trauma and did not report a clear recent change in training or impact activity, which contributed to an initial diagnostic focus on SI pathology. Pelvic radiography raised concern for a possible SI joint abnormality, and SI MRI was subsequently obtained. The MRI was initially interpreted as unremarkable. On careful retrospective review of the sacrum, a sacral stress fracture pattern involving the sacral ala was identified and subsequently confirmed in consultation with radiology. The MRI protocol included coronal STIR and fat-suppressed T2-weighted sequences with coverage of the sacral wings, enabling detection of characteristic bone marrow edema patterns (
Fig. 2). Laboratory testing did not suggest overt metabolic bone disease, with calcium and parathyroid hormone levels within reference ranges, borderline or low-normal 25-hydroxyvitamin D levels, and age-appropriate DXA Z-scores. At an 8-week follow-up, pain had resolved, and the patient had returned to daily activities.
These two presentations emphasize two practical considerations. First, although sacral fractures are often associated with advanced age and bone fragility, sacral stress fractures should remain in the differential diagnosis of buttock or low-back pain in young adults, even in the absence of commonly cited predisposing factors such as osteoporosis, pelvic irradiation, prolonged corticosteroid exposure, metabolic bone disease, or marked repetitive overuse [
4]. Second, an initial MRI report that is described as normal or noncontributory does not fully exclude sacral stress fracture when the protocol is tailored to the hip or SI joints and the sacrum is not explicitly scrutinized [
2,
3]. A simple and readily implementable safeguard is to incorporate a brief “sacrum check” into routine review of hip and SI MRI examinations, particularly when symptoms localize to the posterior pelvis [
1,
2]. This recommendation is especially pertinent because SI MRI interpretation is subject to recognized pitfalls, and focal sacral abnormalities may be either overcalled or undercalled when the primary diagnostic focus is inflammatory SI disease [
5].
Early recognition supports timely conservative management and may reduce diagnostic drift toward inflammatory SI disease, particularly when imaging findings are subtle or unilateral [
2,
3,
5].
Ethics statement
Written informed consent for publication of deidentified clinical and imaging information was obtained from both individuals.
Article Information
-
Author contributions
Conceptualization: NKO, SO. Data curation: NKO, SO. Resources: NKO, SO. Visualization: NKO. Writing-original draft: NKO, SO. Writing-review & editing: NKO, SO. All authors read and approved the final manuscript.
-
Conflicts of interest
No potential conflict of interest relevant to this article was reported.
-
Funding
None.
-
Data availability
Not applicable.
-
Acknowledgments
None.
-
Supplementary materials
None.
Fig. 1.Hip magnetic resonance imaging (patient A). Imaging demonstrates a unilateral sacral ala stress fracture pattern with surrounding marrow edema, best appreciated on fluid-sensitive sequences. The arrow indicates bone marrow edema in the sacral ala with a visible fracture line.
Fig. 2.Sacroiliac magnetic resonance imaging (patient B). Retrospective review of the sacrum reveals a sacral ala stress fracture pattern with marrow edema, despite an initially unremarkable report. The arrow indicates bone marrow edema in the sacral ala with a visible fracture line.
References
- 1. Lyders EM, Whitlow CT, Baker MD, Morris PP. Imaging and treatment of sacral insufficiency fractures. AJNR Am J Neuroradiol 2010;31:201-10.ArticlePubMedPMC
- 2. Kim YY, Chung BM, Kim WT. Lumbar spine MRI versus non-lumbar imaging modalities in the diagnosis of sacral insufficiency fracture: a retrospective observational study. BMC Musculoskelet Disord 2018;19:257.ArticlePubMedPMCPDF
- 3. Sudhir G, Kalra KL, Acharya S, Chahal R. Sacral insufficiency fractures mimicking lumbar spine pathology. Asian Spine J 2016;10:558-64.ArticlePubMedPMC
- 4. Yoder K, Bartsokas J, Averell K, McBride E, Long C, Cook C. Risk factors associated with sacral stress fractures: a systematic review. J Man Manip Ther 2015;23:84-92.ArticlePubMedPMC
- 5. Badr S, Jacques T, Lefebvre G, Boulil Y, Abou Diwan R, Cotten A. Main diagnostic pitfalls in reading the sacroiliac joints on MRI. Diagnostics (Basel) 2021;11:2001.ArticlePubMedPMC
Citations
Citations to this article as recorded by
