Skip Navigation
Skip to contents

J Musculoskelet Trauma : Journal of Musculoskeletal Trauma

OPEN ACCESS

Articles

Page Path
HOME > J Musculoskelet Trauma > Volume 28(4); 2015 > Article
Original Article
The Usefulness of Poller Screw with Antegrade Nailing in the Initial Treatment of Infraisthmal Femur Shaft Fracture
Jeong-Hyun Yoo, M.D., Ph.D., Hyoung-Soo Kim, M.D., Ph.D., Chang-Geun Kim, M.D., Ho-Il Kwak, M.D., Sang-Heon Song, M.D., Ph.D.
Journal of the Korean Fracture Society 2015;28(4):230-236.
DOI: https://doi.org/10.12671/jkfs.2015.28.4.230
Published online: October 19, 2015

Department of Orthopedic Surgery, Myongji Hospital, Seonam University College of Medicine, Goyang, Korea.

Address reprint requests to: Sang-Heon Song, M.D., Ph.D. Department of Orthopedic Surgery, Myongji Hospital, Seonam University College of Medicine, 55 Hwasu-ro 14beon-gil, Deogyang-gu, Goyang 10475, Korea. Tel: 82-31-810-5424, Fax: 82-31-969-0500, sh.gabriel.song@gmail.com
• Received: June 15, 2015   • Revised: July 6, 2015   • Accepted: July 24, 2015

Copyright © 2015 The Korean Fracture Society. All rights reserved.

This is an Open Access article distributed under the terms of the Creative Commons Attribution Non-Commercial License (http://creativecommons.org/licenses/by-nc/4.0) which permits unrestricted non-commercial use, distribution, and reproduction in any medium, provided the original work is properly cited.

  • 286 Views
  • 1 Download
prev next
  • Purpose
    The purpose of this study was to evaluate the radiologic and clinical outcomes after intramedullary nailing with Poller screw insertion at initial stage in infraisthmal femur shaft fractures.
  • Materials and Methods
    Seven consecutive patients (7 femurs) treated with antegrade intramedullary nailing with Poller screw insertion for the infraisthmal femur shaft fracture were reviewed retrospectively. There were 4 male and 3 female patients. Mean age was 46.1 years (20-72 years). Operative time including Poller screw insertion, time for union, malalignment, and range of motion were evaluated.
  • Results
    All 7 cases had primarily healed successfully. Mean time for radiologic union was 19.1 weeks (16-24 weeks) postoperatively. One case had 5 degree valgus malalignment. One case of 15 mm shortening was reported and he required shoe lift orthosis. All cases had a full range of motion in hip and knee joint.
  • Conclusion
    Antegrade intramedullary nailing with Poller screw insertion is useful in the initial treatment of infraisthmal femur shaft fracture, because it could provide additional stability. An additional 20 minutes were required but a Poller screw should be considered according to the anatomic location of a femur shaft fracture.
  • 1. Bucholz RW, Jones A. Fractures of the shaft of the femur. J Bone Joint Surg Am, 1991;73:1561-1566.Article
  • 2. Weiss RJ, Montgomery SM, Al Dabbagh Z, Jansson KA. National data of 6409 Swedish inpatients with femoral shaft fractures: stable incidence between 1998 and 2004. Injury, 2009;40:304-308.Article
  • 3. Wolinsky PR, McCarty E, Shyr Y, Johnson K. Reamed intramedullary nailing of the femur: 551 cases. J Trauma, 1999;46:392-399.
  • 4. Pihlajamäki HK, Salminen ST, Böstman OM. The treatment of nonunions following intramedullary nailing of femoral shaft fractures. J Orthop Trauma, 2002;16:394-402.Article
  • 5. Brumback RJ. The rationales of interlocking nailing of the femur, tibia, and humerus. Clin Orthop Relat Res, 1996;(324):292-320.Article
  • 6. Kessler SB, Hallfeldt KK, Perren SM, Schweiberer L. The effects of reaming and intramedullary nailing on fracture healing. Clin Orthop Relat Res, 1986;(212):18-25.Article
  • 7. Yang KH, Kim JR, Park J. Nonisthmal femoral shaft nonunion as a risk factor for exchange nailing failure. J Trauma Acute Care Surg, 2012;72:E60-E64.Article
  • 8. Krettek C, Rudolf J, Schandelmaier P, Guy P, Könemann B, Tscherne H. Unreamed intramedullary nailing of femoral shaft fractures: operative technique and early clinical experience with the standard locking option. Injury, 1996;27:233-254.Article
  • 9. Stedtfeld HW, Mittlmeier T, Landgraf P, Ewert A. The logic and clinical applications of blocking screws. J Bone Joint Surg Am, 2004;86:Suppl 2. 17-25.Article
  • 10. Park J, Kim SG, Yoon HK, Yang KH. The treatment of nonisthmal femoral shaft nonunions with im nail exchange versus augmentation plating. J Orthop Trauma, 2010;24:89-94.Article
  • 11. Kim JJ, Kim SK, Ahn JH. the use of poller screws in nonunion of femoral shaft following intramedullary nailing of femoral shaft fracture: a case report. J Korean Orthop Assoc, 2005;40:1024-1027.ArticlePDF
Fig. 1

(A) Three-dimensional-reconstructed computed tomography image shows a fragmented wedge fracture at the femur shaft infraisthmal area. (B) Intra-operative C-arm images show the sequence of Poller screw insertion. (C) Postoperative radiograph shows a well reduced femur with good positioned Poller screws.

jkfs-28-230-g001.jpg
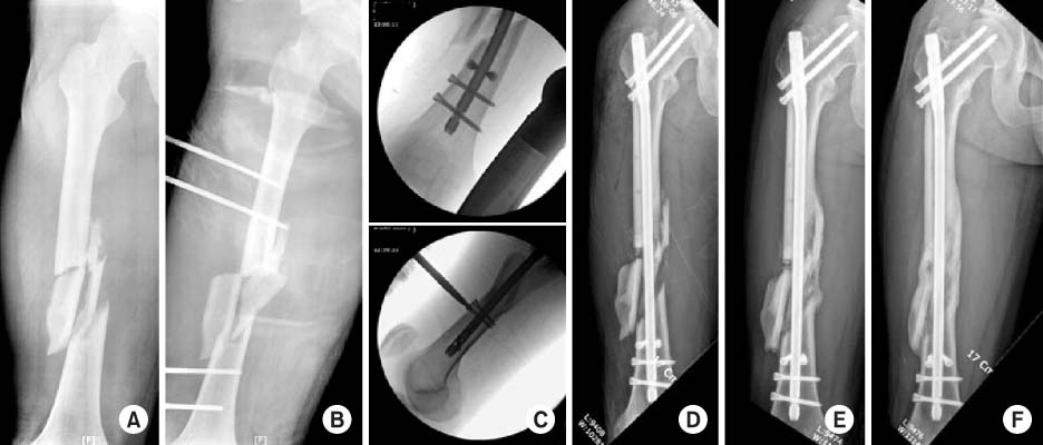
Fig. 2

A 20-year-old male was poly-traumatized after a traffic accident. (A) Anteroposterior radiograph shows an irregular complex femur shaft fracture with a non-displaced fracture of the ipsilateral femoral neck. (B) He underwent damage control-external fixator application at the time of brain surgery in the neurosurgery department. (C) After 3-weeks, he underwent antegrade nailing with two Poller screws after closed reduction with preservation of fracture site biology. Serial radiographs (D: initial postoperative, E: postoperative 2 month, F: postoperative 4 months) show bridging callus progression until radiologic healing.

jkfs-28-230-g002.jpg
Fig. 3

(A) Three-dimensional-reconstructed computed tomography images at postoperative 5 months show full consolidation of a complex femur shaft fracture including neck fracture component. (B) However standing lower extremity scanogram shows a limb length discrepancy of 15 mm.

jkfs-28-230-g003.jpg
Table 1

Patient Demographics Related with Injury Type, Mechanism and Fracture Classification

jkfs-28-230-i001.jpg

*AO-OTA classification. F: Female, M: Male, TA: Traffic accident.

Table 2

Clinico-Radiological Results Showing Poller Screw Fixation Time, Whole Operative Time, Time for Union (Radiologic, Clinical) and Clinical Remarks

jkfs-28-230-i002.jpg

Figure & Data

REFERENCES

    Citations

    Citations to this article as recorded by  

      • Cite
        CITE
        export Copy Download
        Close
        Download Citation
        Download a citation file in RIS format that can be imported by all major citation management software, including EndNote, ProCite, RefWorks, and Reference Manager.

        Format:
        • RIS — For EndNote, ProCite, RefWorks, and most other reference management software
        • BibTeX — For JabRef, BibDesk, and other BibTeX-specific software
        Include:
        • Citation for the content below
        The Usefulness of Poller Screw with Antegrade Nailing in the Initial Treatment of Infraisthmal Femur Shaft Fracture
        J Korean Fract Soc. 2015;28(4):230-236.   Published online October 31, 2015
        Close
      • XML DownloadXML Download
      Figure
      • 0
      • 1
      • 2
      We recommend
      Related articles
      The Usefulness of Poller Screw with Antegrade Nailing in the Initial Treatment of Infraisthmal Femur Shaft Fracture
      Image Image Image
      Fig. 1 (A) Three-dimensional-reconstructed computed tomography image shows a fragmented wedge fracture at the femur shaft infraisthmal area. (B) Intra-operative C-arm images show the sequence of Poller screw insertion. (C) Postoperative radiograph shows a well reduced femur with good positioned Poller screws.
      Fig. 2 A 20-year-old male was poly-traumatized after a traffic accident. (A) Anteroposterior radiograph shows an irregular complex femur shaft fracture with a non-displaced fracture of the ipsilateral femoral neck. (B) He underwent damage control-external fixator application at the time of brain surgery in the neurosurgery department. (C) After 3-weeks, he underwent antegrade nailing with two Poller screws after closed reduction with preservation of fracture site biology. Serial radiographs (D: initial postoperative, E: postoperative 2 month, F: postoperative 4 months) show bridging callus progression until radiologic healing.
      Fig. 3 (A) Three-dimensional-reconstructed computed tomography images at postoperative 5 months show full consolidation of a complex femur shaft fracture including neck fracture component. (B) However standing lower extremity scanogram shows a limb length discrepancy of 15 mm.
      The Usefulness of Poller Screw with Antegrade Nailing in the Initial Treatment of Infraisthmal Femur Shaft Fracture

      Patient Demographics Related with Injury Type, Mechanism and Fracture Classification

      *AO-OTA classification. F: Female, M: Male, TA: Traffic accident.

      Clinico-Radiological Results Showing Poller Screw Fixation Time, Whole Operative Time, Time for Union (Radiologic, Clinical) and Clinical Remarks

      Table 1 Patient Demographics Related with Injury Type, Mechanism and Fracture Classification

      *AO-OTA classification. F: Female, M: Male, TA: Traffic accident.

      Table 2 Clinico-Radiological Results Showing Poller Screw Fixation Time, Whole Operative Time, Time for Union (Radiologic, Clinical) and Clinical Remarks


      J Musculoskelet Trauma : Journal of Musculoskeletal Trauma
      Close layer
      TOP