Department of Orthopaedic Surgery, Pusan National University School of Medicine, Busan, Korea.
Copyright © 2010 The Korean Fracture Society
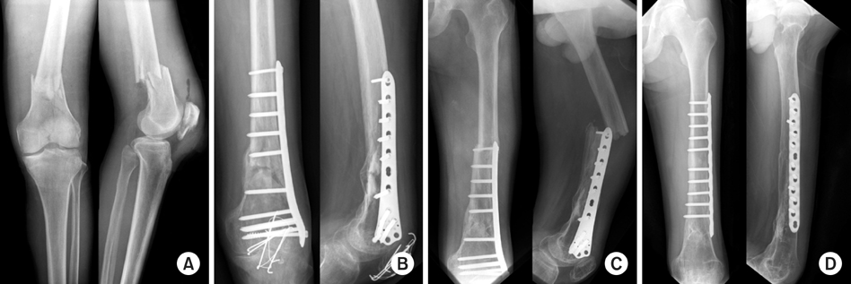
Summary of patient demographics, injury and fracture types, and outcomes
TA: Traffic accident.
The clinical outcomes of the Schatzker and Lambert assessment
TA: Traffic accident.
