Department of Orthopaedic Surgery, Pusan National University Hospital, Busan, Korea.
*School of Medicine, Pusan National University, Yangsan, Korea.
Copyright © 2013 The Korean Fracture Society. All rights reserved.
This is an Open Access article distributed under the terms of the Creative Commons Attribution Non-Commercial License (http://creativecommons.org/licenses/by-nc/3.0/) which permits unrestricted non-commercial use, distribution, and reproduction in any medium, provided the original work is properly cited.
Patient Data
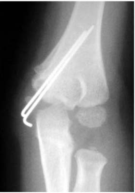
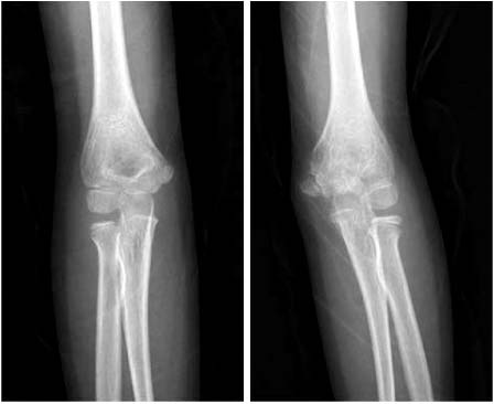
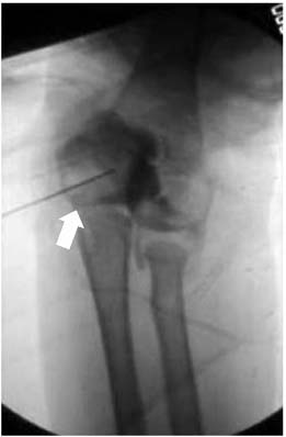
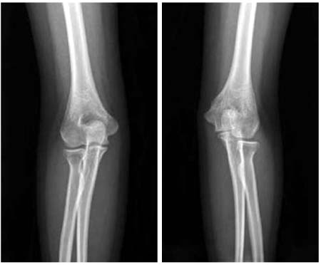
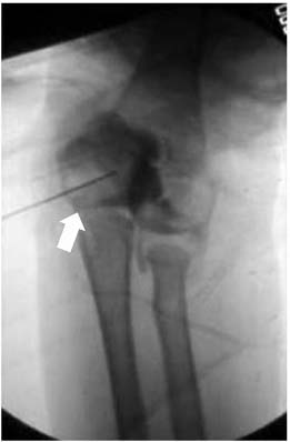
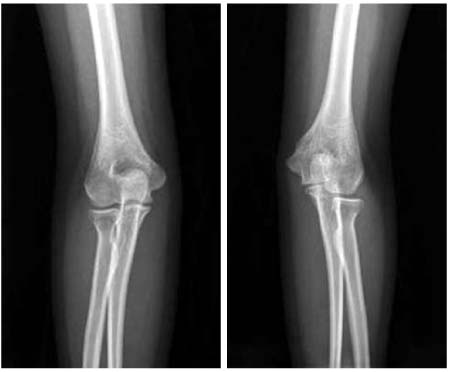
Fx: Fracture, Dx: Diagnosis, MCF: Medial condyle fracture, MRI: Magnetic resonance imaging, Intraop.: Intraoperative, OR/IF: Open reduction and internal fixation, LOM: Limitation of motion, ROM: Range of motion.
						 Fx: Fracture, Dx: Diagnosis, MCF: Medial condyle fracture, MRI: Magnetic resonance imaging, Intraop.: Intraoperative, OR/IF: Open reduction and internal fixation, LOM: Limitation of motion, ROM: Range of motion.
