Skip Navigation
Skip to contents

J Musculoskelet Trauma : Journal of Musculoskeletal Trauma

OPEN ACCESS

Articles

Page Path
HOME > J Musculoskelet Trauma > Volume 22(3); 2009 > Article
Review Article
Intramedullary Nailing of Proximal Tibial Fractures
Young-Soo Byun, Dong-Ju Shin, M.D.
Journal of the Korean Fracture Society 2009;22(3):197-205.
DOI: https://doi.org/10.12671/jkfs.2009.22.3.197
Published online: July 31, 2009

Department of Orthopedic Surgery, Daegu Fatima Hospital, Daegu, Korea.

Address reprint requests to: Dong-Ju Shin, M.D. Department of Orthopedic Surgery, Daegu Fatima Hospital, 576-31, Sinam-dong, Dong-gu, Daegu 701-600, Korea. Tel: 82-53-940-7320, Fax: 82-53-954-7417, fatimaos@unitel.co.kr

Copyright © 2009 The Korean Fracture Society. All rights reserved.

This is an Open Access article distributed under the terms of the Creative Commons Attribution Non-Commercial License (http://creativecommons.org/licenses/by-nc/3.0/) which permits unrestricted non-commercial use, distribution, and reproduction in any medium, provided the original work is properly cited.

  • 1,748 Views
  • 42 Download
  • 3 Crossref
prev next
  • 1. Benirschke SK, Henley MB, Ott JW. Proximal onethird tibial fracture solution. Orthop Trans, 1994;18:1055-1056.
  • 2. Bolhofner BR. Indirect reduction and composite fixation of extraarticular proximal tibial fractures. Clin Orthop Relat Res, 1995;315:75-83.Article
  • 3. Bono CM, Levine RG, Rao JP, Bebrens FF. Nonarticular proximal tibia fractures: treatment options and decision making. J Am Acad Orthop Surg, 2001;9:176-186.Article
  • 4. Buehler KC, Green J, Woll TS, Duwelius PJ. A technique for intramedullary nailing of proximal third tibia fractures. J Orthop Trauma, 1997;11:218-223.Article
  • 5. Cannada LK, Anglen JO, Archdeacon MT, Herscovici D Jr, Ostrum RF. Avoiding complications in the care of fractures of the tibia. Instr Course Lect, 2009;58:27-36.
  • 6. Freedman EL, Johnson EE. Radiographic analysis of tibial fracture malalignment following intramedullary nailing. Clin Orthop, 1995;315:25-33.Article
  • 7. Gerber A, Ganz R. Combined internal and external osteosynthesis. A biological approach to the treatment of complex fractures of the proximal tibia. Injury, 1998;29:Suppl 3. C22-C28.Article
  • 8. Gosling T, Schandelmaier P, Muller M, Hankemeier S, Wagner M, Krettek C. Single lateral locked screw plating of bicondylar tibial plateau fractures. Clin Orthop Relat Res, 2005;439:207-214.Article
  • 9. Henley MB, Meier M, Tencer AF. Influences of some design parameters on the biomechanics of the undreamed nail. J Orthop Trauma, 1993;7:311-319.
  • 10. Hicks CA, Noble P, Tullos H. The anatomy of the tibial intramedullary canal. Clin Orthop Relat Res, 1995;321:111-116.Article
  • 11. Hutson JJ Jr, Zych GA. Infections in periarticular fractures of the lower extremity treated with tensioned wire hybrid fixators. J Orthop Trauma, 1998;12:214-218.Article
  • 12. Keating JF, Kuo RS, Court-Brown CM. Bifocal fractures of the tibia and fibula. Incidence, classification and treatment. J Bone Joint Surg Br, 1994;76:395-400.ArticlePDF
  • 13. Kim JW, Oh CW, JK Oh, et al. Staged minimally invasive plate osteosynthesis of proximal tibial fracture. J Korean Fract Soc, 2009;22:6-12.Article
  • 14. Krettek C, Gerich T, Miclau T. A minimally invasive medial approach for proximal tibial fractures. Injury, 2001;32:Suppl 1. SA4-SA13.Article
  • 15. Krettek C, Miclau T, Schandelmaier P, Stephan C, Möhlmann U, Tscherne H. The mechanical effect of blocking screws ("Poller screws") in stabilizing tibia fractures with short proximal or distal fragments after insertion of small-diameter intramedullary nails. J Orthop Trauma, 1999;13:550-553.Article
  • 16. Krettek C, Stephan C, Schandelmaier P, Richter M, Pape HC, Miclau T. The use of Poller screws as blocking screws in stabilizing tibial fractures treated with small diameter intramedullary nails. J Bone Joint Surg Br, 1999;81:963-968.
  • 17. Laflamme GY, Heimlich D, Stephen D, Kreder HJ, Whyne CM. Proximal tibial fracture stability with intramedullary nail fixation using oblique interlocking screws. J Orthop Trauma, 2003;17:496-502.Article
  • 18. Lang JG, Cohen BE, Bosse MJ, Kellam JF. Proximal third tibial shaft fractures. Should they be nailed? Clin Orthop, 1995;315:64-74.
  • 19. Mueller CA, Eingartner C, Schreitmueller E, et al. Primary stability of various forms of osteosynthesis in the treatment of fractures of the proximal tibia. J Bone Joint Surg Br, 2005;87:426-432.ArticlePDF
  • 20. Müller ME, Allgöwer M, Schneider R, Willenegger H. Manual of internal fixation. 3rd ed. Berlin, Germany: Springer-Verlag; 1992. p. 291-365.
  • 21. Nicoll EA. Fractures of the tibial shaft. A survey of 705 cases. J Bone Joint Surg Br, 1964;46:373-387.
  • 22. Nork SE, Barei DP, Schildhauer TA, et al. Intramedullary nailing of proximal quarter tibial fractures. J Orthop Trauma, 2006;20:523-528.Article
  • 23. Phisitkul P, Mckinley TO, Nepola JV, Marsh JL. Complications of locking plate fixation in complex proximal tibia injuries. J Orthop Trauma, 2007;21:83-91.Article
  • 24. Ricci WM, O'Boyle M, Borrelli J, Bellabarba C, Sanders R. Fractures of the proximal third of the tibial shaft treated with intramedullary nails and blocking screws. J Orthop Trauma, 2001;15:264-270.Article
  • 25. Safran O, Liebergall M, Segal D, Mosheiff R. Proximal tibial fractures - should we nail them? Am J Orthop, 2001;30:681-684.
  • 26. Sarmiento A, Gersten LM, Sobol PA, Shankwiler JA, Vangsness CT. Tibial fractures treated with functional braces. J Bone Joint Surg Br, 1989;71:602-609.
  • 27. Tornetta P 3rd. Technical considerations in the surgical management of tibial fractures. Instr Course Lect, 1997;46:271-280.
  • 28. Tornetta P 3rd, Collins E. Semiextended position of intramedullary nailing of the proximal tibia. Clin Orthop, 1996;328:185-189.
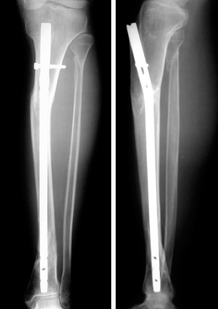
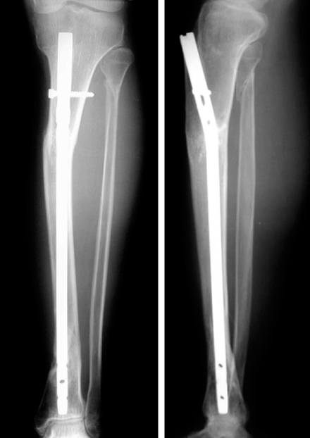
Fig. 1
Radiographs show a healed fracture of the proximal tibia with valgus deformity and apex anterior deformity after locked nail.
jkfs-22-197-g001.jpg
Fig. 2
The CT scan of the proximal tibia shows triangular shape of the medullary canal with most narrow medial portion. The proximal-medial portion of the tibia is a chute (white arrow) that deflects the nail laterally because of lessened sagittal space and pronounced lateral slope of the medial cortex of the proximal tibia.
jkfs-22-197-g002.jpg
Fig. 3
Medial entry point and laterally directed insertion angle of the nail into the proximal fragment results in valgus malalignment as the nail engages into the distal fragment.
jkfs-22-197-g003.jpg
Fig. 4
Posteriorly directed insertion of the nail into the proximal fragment results in apex anterior angulation at the fracture site when the nail engages into the distal fragment.
jkfs-22-197-g004.jpg
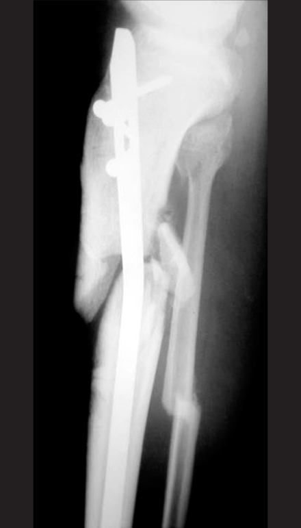
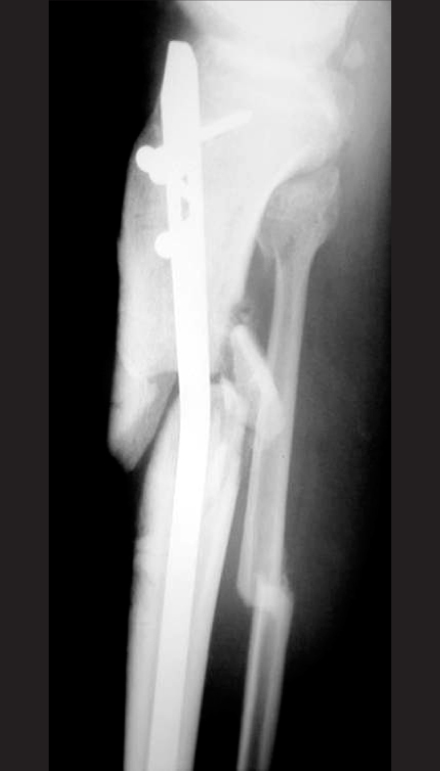
Fig. 5
Lateral radiograph of the proximal tibial fracture treated with an AO unreamed interlocking nail shows anterior displacement of the proximal fragment (posterior displacement of the distal fragment) by the wedge effect of the nail. Note. The AO unreamed interlocking nail has a more distally located Herzog bend.
jkfs-22-197-g005.jpg
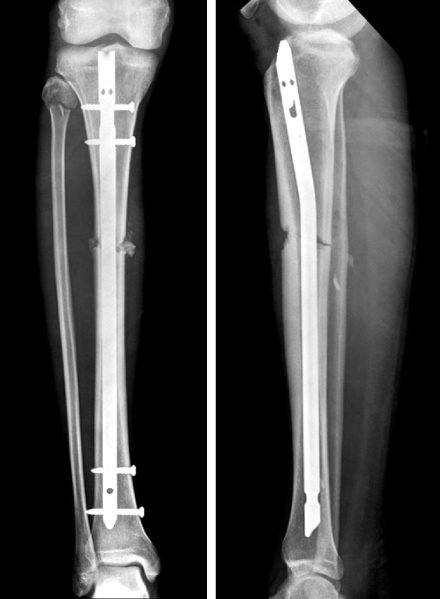
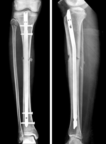
Fig. 6
Postoperative radiographs of this proximal tibial shaft fracture show good alignment after locked tibial nailing using the lateral starting point in line with the lateral intercondylar eminence and more proximal and posterior starting point.
jkfs-22-197-g006.jpg
Fig. 7
(A, B) Initial radiographs show simple oblique fracture of the proximal tibia.
(C, D, E) The fracture was reduced and alignment was maintained by temporary percutaneous use of pointed reduction forceps during nailing procedures.
(F, G) Postoperative radiographs show anatomical reduction of the fracture after fixing with a locked tibial nail and adjunctive percutaneous lag screws.
jkfs-22-197-g007.jpg
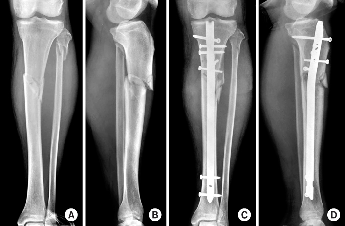
Fig. 8
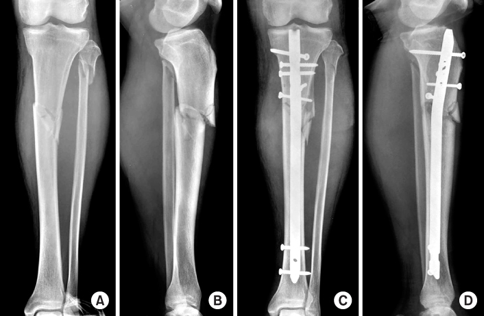
(A, B) Initial radiographs show the proximal tibial fracture at the proximal meta-diaphyseal junction.
(C, D) Postoperative radiographs show good alignment of the fracture fixed with a locked tibial nail and blocking screws to prevent malalignment. A blocking screw was placed lateral to the central axis to prevent valgus angulation and the other blocking screw was placed posterior to the central axis to prevent apex anterior angulation.
jkfs-22-197-g008.jpg
Fig. 9
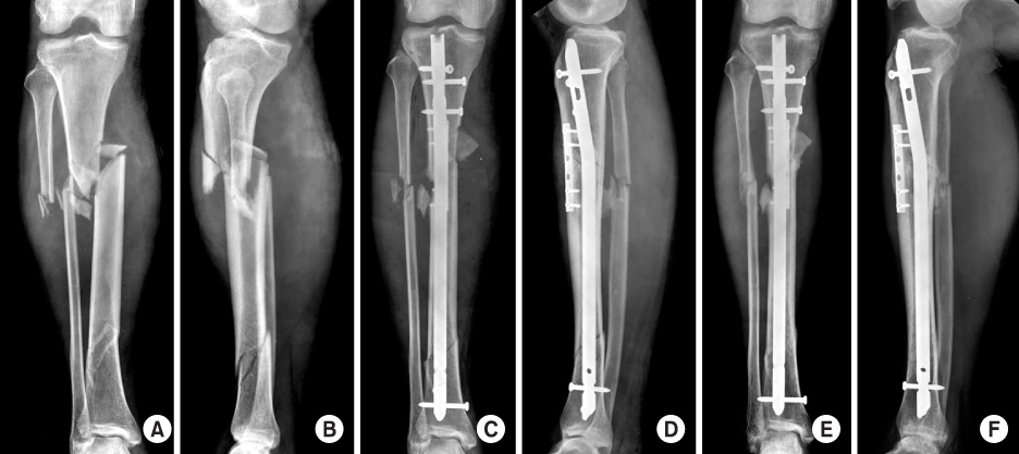
(A, B) Initial radiographs show the segmental fracture of the proximal and distal tibial shafts.
(C, D) The proximal fracture was reduced and stabilized with a 1/3 tubular plate through a small incision before locked tibial nailing to prevent malalignment. Postoperative radiographs show anatomical alignment of the fracture fixed with a locked nail and a small plate.
(E, F) Radiographs 7 months after surgery show the healed fracture with external callus in good alignment.
jkfs-22-197-g009.jpg

Figure & Data

REFERENCES

    Citations

    Citations to this article as recorded by  
    • Clinical Outcome after Treatment of Tibia Segmental Fracture with Intramedullary Nailing and Minimal Invasive Plate Osteosynthesis
      Jun Young Lee, Hyung Seok Park, Dong Hyuk Cha
      Journal of the Korean Fracture Society.2020; 33(3): 142.     CrossRef
    • Clinical Outcomes of the Tibia Segmental Fractures Treated by Intramedullary Nail Using Various Reduction Techniques
      Oog-Jin Shon, Ji-Hoon Shin, Chul-Wung Ha
      Journal of the Korean Fracture Society.2013; 26(1): 50.     CrossRef
    • Management of Open Fracture
      Gu-Hee Jung
      Journal of the Korean Fracture Society.2010; 23(2): 236.     CrossRef

    • Cite
      CITE
      export Copy Download
      Close
      Download Citation
      Download a citation file in RIS format that can be imported by all major citation management software, including EndNote, ProCite, RefWorks, and Reference Manager.

      Format:
      • RIS — For EndNote, ProCite, RefWorks, and most other reference management software
      • BibTeX — For JabRef, BibDesk, and other BibTeX-specific software
      Include:
      • Citation for the content below
      Intramedullary Nailing of Proximal Tibial Fractures
      J Korean Fract Soc. 2009;22(3):197-205.   Published online July 31, 2009
      Close
    • XML DownloadXML Download
    Figure
    • 0
    • 1
    • 2
    • 3
    • 4
    • 5
    • 6
    • 7
    • 8
    We recommend
    Intramedullary Nailing of Proximal Tibial Fractures
    Image Image Image Image Image Image Image Image Image
    Fig. 1 Radiographs show a healed fracture of the proximal tibia with valgus deformity and apex anterior deformity after locked nail.
    Fig. 2 The CT scan of the proximal tibia shows triangular shape of the medullary canal with most narrow medial portion. The proximal-medial portion of the tibia is a chute (white arrow) that deflects the nail laterally because of lessened sagittal space and pronounced lateral slope of the medial cortex of the proximal tibia.
    Fig. 3 Medial entry point and laterally directed insertion angle of the nail into the proximal fragment results in valgus malalignment as the nail engages into the distal fragment.
    Fig. 4 Posteriorly directed insertion of the nail into the proximal fragment results in apex anterior angulation at the fracture site when the nail engages into the distal fragment.
    Fig. 5 Lateral radiograph of the proximal tibial fracture treated with an AO unreamed interlocking nail shows anterior displacement of the proximal fragment (posterior displacement of the distal fragment) by the wedge effect of the nail. Note. The AO unreamed interlocking nail has a more distally located Herzog bend.
    Fig. 6 Postoperative radiographs of this proximal tibial shaft fracture show good alignment after locked tibial nailing using the lateral starting point in line with the lateral intercondylar eminence and more proximal and posterior starting point.
    Fig. 7 (A, B) Initial radiographs show simple oblique fracture of the proximal tibia. (C, D, E) The fracture was reduced and alignment was maintained by temporary percutaneous use of pointed reduction forceps during nailing procedures. (F, G) Postoperative radiographs show anatomical reduction of the fracture after fixing with a locked tibial nail and adjunctive percutaneous lag screws.
    Fig. 8 (A, B) Initial radiographs show the proximal tibial fracture at the proximal meta-diaphyseal junction. (C, D) Postoperative radiographs show good alignment of the fracture fixed with a locked tibial nail and blocking screws to prevent malalignment. A blocking screw was placed lateral to the central axis to prevent valgus angulation and the other blocking screw was placed posterior to the central axis to prevent apex anterior angulation.
    Fig. 9 (A, B) Initial radiographs show the segmental fracture of the proximal and distal tibial shafts. (C, D) The proximal fracture was reduced and stabilized with a 1/3 tubular plate through a small incision before locked tibial nailing to prevent malalignment. Postoperative radiographs show anatomical alignment of the fracture fixed with a locked nail and a small plate. (E, F) Radiographs 7 months after surgery show the healed fracture with external callus in good alignment.
    Intramedullary Nailing of Proximal Tibial Fractures

    J Musculoskelet Trauma : Journal of Musculoskeletal Trauma
    Close layer
    TOP