Skip Navigation
Skip to contents

J Musculoskelet Trauma : Journal of Musculoskeletal Trauma

OPEN ACCESS

Articles

Page Path
HOME > J Musculoskelet Trauma > Volume 39(1); 2026 > Article
Technical Note
Rim plate-assisted intramedullary nail and plate combination technique for complex tibial plateau-to-diaphysis fractures: a technical note and case series
Whee Sung Sonorcid
Journal of Musculoskeletal Trauma 2026;39(1):62-71.
DOI: https://doi.org/10.12671/jmt.2025.00290
Published online: December 4, 2025

Department of Orthopedic Surgery, Yeungnam University Medical Center, Yeungnam University College of Medicine, Daegu, Korea

Correspondence to: Whee Sung Son Department of Orthopedic Surgery, Yeungnam University Medical Center, Yeungnam University College of Medicine, 170 Hyonchung-ro, Nam-gu, Daegu 42415, Korea Tel: +82-053-620-3640 Email: oswsson@gmail.com
• Received: September 9, 2025   • Revised: October 8, 2025   • Accepted: October 14, 2025

© 2026 The Korean Orthopaedic Trauma Association

This is an Open Access article distributed under the terms of the Creative Commons Attribution Non-Commercial License (http://creativecommons.org/licenses/by-nc/4.0/) which permits unrestricted noncommercial use, distribution, and reproduction in any medium, provided the original work is properly cited.

  • 810 Views
  • 30 Download
prev
  • Complex tibial plateau-to-diaphysis fractures present a significant surgical challenge due to their intricate fracture patterns and frequent association with severe soft tissue damage and concomitant injuries. This technical note introduces a novel fixation strategy: the rim plate-assisted intramedullary nail-plate combination (NPC) technique. In this approach, a rim plate simplifies the conventional NPC procedure by unifying the tibial plateau fracture into a single structural segment. This modification eliminates the need to address the articular and diaphyseal components simultaneously while enhancing articular stability. Furthermore, the technique preserves soft tissue integrity and promotes early rehabilitation. Clinical case examples demonstrate its successful application in managing complex tibial plateau-to-diaphysis injuries.
    Level of evidence: V.
Complex tibial plateau-to-diaphysis fractures are challenging to treat owing to their complexity and association with high-energy trauma, which often results in soft tissue damage and concomitant injuries [1-3]. Fixation with dual plating using a minimally invasive plate osteosynthesis (MIPO) technique can be a relatively less demanding technical challenge. However, the common drawback of this technique is the inability to allow early weight bearing compared with intramedullary (IM) nailing, particularly in patients with bilateral lower limb fractures [3,4]. Moreover, these injuries are often open fractures, which typically involve the anteromedial aspect of the tibia and can complicate dual plate fixation [2-4]. Conversely, IM nailing allows early rehabilitation of patients with diaphyseal fractures and is less affected by the soft tissue status. However, IM nailing alone may displace the plateau fracture during the procedure and may not achieve sufficient fixation of the articular component [4]. Addition of rafting screws with IM nailing can be a useful treatment option to enhance articular support [5]. However, rafting screws alone are less effective in preventing articular subsidence or angular deformity than fixed-angle constructs, particularly when the fracture involves a complex tibial plateau component [6].
To overcome the limitations of each fixation method, the IM nail-plate combination (NPC) technique was introduced as a potentially valuable alternative for addressing complex tibial plateau-to-diaphysis fractures [3,4]. However, the NPC technique for plateau-to-diaphysis fractures can be technically demanding, as it requires simultaneous management of both fracture components. In this regard, the rim plate-assisted NPC technique introduced in this study simplifies the conventional NPC procedure while further promoting stable articular fixation. This technique was applied in two patients with complex tibial plateau-to-diaphysis fractures accompanied by soft tissue injury and concomitant contralateral lower limb fractures, where a stable fixation construct was essential to enable early rehabilitation.
Ethics statement
This study was conducted in accordance with the tenets of the Declaration of Helsinki and its later amendments with approval from the Institutional Review Board (IRB) of Yeungnam University Medical Center (IRB No. YUMC 2025-09-021). Informed consent for participation was obtained from all participants in accordance with institutional and ethical guidelines. The patients also provided written informed consent for the publication of this report and the accompanying images.
Case 1
A 54-year-old male patient presented after a motor vehicle accident with multiple open wounds and a complex right-sided tibial plateau-to-diaphysis fracture (Fig. 1). On the contralateral side, he sustained multiple fractures involving the femoral neck and shaft. On the day of injury, initial management included open wound debridement and negative-pressure wound therapy, followed by external fixation of the right tibial plateau and diaphyseal fractures. Definitive surgery for the right tibial plateau-to-diaphysis fractures was performed 8 days after injury, during which a rim plate-assisted NPC technique was planned. This approach was employed because the patient had multiple open wounds on the anteromedial aspect, and dual plating could have exposed the medial plate or require flap coverage. Furthermore, the presence of multiple contralateral limb injuries inhibited partial weight bearing. Once weight bearing began, the injured tibia would bear the full weight from the start. Therefore, the fixation construct must be strong enough to allow immediate full weight bearing to enable early rehabilitation.

Surgical technique

The procedure started by placing a rim plate to convert the tibial plateau fracture into a single articular segment. The surgical approach was chosen based on the fracture pattern. The patient had posterolateral and anteromedial tibial plateau fractures. To address the posterolateral fracture, a modified anterolateral approach was employed, extending through the space between the fibular collateral ligament (FCL) and the posterolateral plateau rim [7,8]. The anteromedial fracture was approached through an anteromedial incision of approximately 5 cm, extending from the proximal medial open wound. Long incisions were not required, as the exposure was sufficient for fracture reduction and rim plate placement. The medial collateral ligament was incised longitudinally at the fracture site to confirm intraarticular reduction. The posterolateral plateau fracture was reduced using a colinear clamp. A 2.7-mm variable-angle locking compression plate (VA-LCP; Variable Angle LCP Forefoot/Midfoot System 2.4/2.7, Synthes GmbH) was contoured and inserted into the posterolateral space beneath the FCL. The contoured plate and posterolateral fragment were pressed together with a pointed reduction bone clamp (Fig. 2A and 2B). To maintain compression, a 2.7-mm cortical screw was inserted into the most anterior hole, followed by 2.7-mm locking screws to secure the plate and connect the posterolateral fragment with the anterolateral main fragment at the plateau rim. On the anteromedial side, another 2.7-mm VA-LCP was contoured and positioned over the medial collateral ligament. A pointed bone reduction clamp was used to achieve medial-to-lateral compression, and 2.7-mm locking screws were inserted. This construct restored the tibial plateau as a single segment (Fig. 2C and 2D). In these procedures, care was taken to avoid directing screws toward the anterior center, which could obstruct IM nail passage. However, most screws—being oriented nearly perpendicular to the cortical surface and positioned within the allowable variable screw angulation of up to 30°—generally do not interfere with the trajectory of the IM nail. Therefore, it was sufficient to ensure that screws inserted through the anterior holes of the plate did not point excessively anteriorly. Once the plateau was stabilized as a single segment, IM nailing was performed through the suprapatellar approach to minimize the displacement of the proximal fragment. To prevent the displacement of the plateau segment during nail entry, both the tibial tuberosity and posterolateral aspect were secured with a pointed bone reduction clamp (Fig. 2E). During nailing, overall lower limb alignment was confirmed using the alignment rod before screw fixation. Only three cancellous screws could be inserted into the proximal segment. Additional anterolateral tibial plating was performed to improve the stability of the construct. A 4.5-mm LCP Proximal Tibia Plate (Synthes GmbH) was positioned using a MIPO technique. Fine adjustment of the plate position enabled linkage with the IM nail, a process that was technically straightforward. A drill sleeve was inserted through the proximal aiming arm of the IM nail (Expert Tibia Nail, Synthes GmbH), and the plate was adjusted to precisely align with the drill sleeve. Subsequently, 5.0-mm interlocking screws were inserted through the plate holes, connecting the transverse locking hole and the oblong slot of the IM nail to link the nail and plate (Fig. 2F and 2G). More 5.0-mm locking screws were added to the proximal holes of the plate to secure it to the proximal tibial section. For distal fixation, one 4.5-mm cortical screw and several 3.5-mm locking screws were inserted using a 3.5-mm locking attachment plate (Synthes GmbH). This was performed to avoid interference with the IM nail, completing the final fixation. Finally, the open wounds on the anteromedial aspect of the tibia were closed directly because no medial plate was applied. Postoperative plain radiographs and computed tomography (CT) images are shown in Fig. 3.

Postoperative course after the rim plate-assisted NPC technique

Knee joint range-of-motion exercises were initiated immediately after surgery. Two weeks after surgery, the right tibial anteromedial open wounds had healed without complication. Assisted ambulation began 4 weeks after surgery, and by 6 weeks, the patient could ambulate independently with a walker, and fracture reduction was sustained in both lower limbs (Fig. 4A and 4B). Complete bone union was achieved for all fractures 6 months after surgery. The early initiation of rehabilitation helped the patient regain the ability to perform daily living activities, and at the 1-year follow-up, full functional recovery was confirmed (Fig. 4C and 4D).
Case 2
A 23-year-old male patient presented with multiple traumatic injuries, including an aortic dissection, following a motorcycle accident. Initial assessment and resuscitation were performed according to the Advanced Trauma Life Support guidelines. Musculoskeletal injuries included a left complex tibial plateau-to-diaphysis fracture, along with other bilateral lower extremity fractures (Fig. 5). The complex left tibial plateau-to-diaphysis fracture was associated with compartment syndrome and severe skin contusion (Fig. 5A). On the day of injury, left lower leg fasciotomy was performed to address the compartment syndrome, and an external fixator was applied. One week later, the other open fractures were treated first, and another week later, definitive fixation of the left complex tibial plateau-to-diaphysis fracture was performed.

Surgical technique

As in case 1, the procedure started with converting the tibial plateau fracture into a single segment using a rim plate. An anterolateral approach was chosen because of the anterolateral location of the main fracture. The patient had a lateral condylar depression of the tibial plateau, which was initially elevated using an impactor (Fig. 6A). After the elevation of the depressed fragment, Kirschner wires were temporarily fixed through the inside-out technique [9]. A 2.7-mm VA-LCP was then shaped and positioned, followed by medial-to-lateral compression using a colinear clamp (Fig. 6B). Both cortical and locking screws were inserted through the VA-LCP, which connected the plateau fragments into a single segment (Fig. 6C). A suprapatellar approach was employed for IM nailing (Fig. 6D). As in case 1, only three cancellous screws could be inserted into the proximal fragment through the IM nail. To enable immediate full weight bearing, an additional plate was applied to augment fixation, which completed the NPC technique (Fig. 6F). In this patient, the longest available 4.5-mm LCP proximal tibia plate did not provide sufficient construct length. Therefore, a 4.5-mm LCP proximal lateral tibia plate was used instead; this plate has a proximally oblique design, in contrast to the sharply angled, inverted “L”-shaped design of the standard proximal tibia plate. Postoperative plain radiographs and CT images are shown in Fig. 7.

Postoperative course following the rim plate-assisted NPC technique

One week later, the left distal radius and ulna and concomitant ipsilateral forearm both-bone fractures were surgically treated, which concluded the surgical procedures. Passive knee range-of-motion exercises were initiated immediately after surgery. Weight bearing and walking ambulation began approximately 4 weeks after surgery, following transfer from the intensive care unit to the general ward. Six weeks after surgery, the patient could walk independently (Fig. 8A and 8B), and bone union was achieved at 6 months. At 9 months, the patient underwent reconstruction of the posterior cruciate ligament to address right knee instability and was subsequently able to return to full physical activity (Fig. 8C and 8D).
Complex tibial plateau-to-diaphyseal fractures are rare and present significant treatment challenges, with limited literature on effective management strategies. This technical note and accompanying case report present the successful outcomes of the rim plate-assisted NPC technique tailored for these challenging injuries. A key challenge in managing such fractures lies in achieving and maintaining simultaneous reduction of both the plateau and diaphyseal components before fixation, which can be technically demanding. The rim plate helps in overcoming this issue by enabling secure reduction and stabilization of the plateau fracture initially, effectively converting the injury into an extra-articular configuration. This approach simplifies the subsequent IM nailing through the creation of a unified proximal segment, thereby facilitating easier and more reliable assembly of the NPC construct. Additionally, the application of a 4.5-mm plate through the MIPO technique enhances construct stability through the fixed-angle support to the proximal fragment. As the cases demonstrated, this method allowed for early rehabilitation, even in patients with concomitant contralateral lower limb fractures that prohibited partial weight bearing. Moreover, the technique helps maintain the integrity of soft tissue, particularly in the anteromedial region, which is often compromised in high-energy injuries, offering a practical advantage over conventional dual plating methods.
Kubiak et al. [2] introduced the NPC technique for the treatment of ipsilateral, noncontiguous unicondylar tibial plateau and diaphyseal fractures. Compared with the cases presented in the current study, their cases involved noncontiguous fractures, which allowed for sequential reduction and fixation: the articular portion of the plateau was first reduced and stabilized using a proximal tibial plate without a rim plate, followed by IM nailing for the diaphyseal component. They also emphasized that IM nailing is a more attractive option for managing the soft tissue around tibial diaphyseal fractures. Their approach yielded successful outcomes. In noncontiguous fractures, as described by Kubiak et al. [2], the NPC technique alone may be sufficient, as the plateau fracture can be addressed independently with a proximal tibial plate, while the diaphyseal fracture can be treated separately with IM nailing. However, in cases of ipsilateral contiguous tibial plateau and diaphyseal fractures, such as those presented in the current study, simultaneous reduction and fixation of both the articular and diaphyseal components should be achieved through the proximal tibial plate. This renders the procedure technically more demanding than in noncontiguous cases. To simplify this process, the rim plate serves to convert the fractured plateau into a single stable segment, thereby facilitating subsequent reduction and fixation using the NPC technique in cases of contiguous tibial plateau and diaphyseal fractures.
Wright et al. [3] and Marks et al. [4] also reported favorable outcomes using the conventional NPC technique in bicondylar and complex plateau-to-diaphysis fractures, respectively. Their results highlighted the advantages of the NPC construct, including preservation of medial soft tissue, shorter time to definitive fixation, and the possibility of early rehabilitation. Our rim plate-assisted NPC technique builds upon these principles but, as described above, differs from the conventional NPC in that it avoids simultaneous management of both fracture components by enabling a stepwise, sequential approach.
Rojas et al. [1] introduced the “umbrella technique,” which involves the use of a circumferentially precontoured minifragment long plate positioned beneath the patellar tendon through both anteromedial and anterolateral incisions to stabilize the tibial plateau prior to IM nailing, as demonstrated in three cases of complex tibial plateau-to-diaphysis fractures. This technique is designed to provide stability against hoop stress, and—similar to our approach—it emphasizes favorable outcomes in soft tissue–compromised cases compared with traditional plating. However, our method differs in that it uses rim plates in a fracture-specific manner to further minimize soft tissue disruption, while incorporating a 4.5-mm plate to complete the NPC construct. Although our technique does not achieve hoop stress resistance through full anterior circumferential coverage of the tibial plateau, the screws from the rim plate—applied following medial-to-lateral compression—and those from the 4.5 mm plate are believed to provide sufficient stability. Notably, in the second case reported by Rojas et al. [1], follow-up radiographs revealed posterior tilting of the proximal segment. This may have occurred because, although the circumferential plate provides hoop stress resistance, it does not offer fixed-angle stability to the proximal segment, and the proximal cancellous screws of the nail alone likely failed to sufficiently compensate for this mechanical deficiency.
This study has several limitations. The findings based on only two case reports cannot be generalized; thus, further analysis involving a larger number of cases using this technique is warranted. Nevertheless, this report presents a useful surgical strategy for managing challenging complex tibial plateau-to-diaphyseal fractures, which may offer practical guidance to surgeons treating similar cases. In relatively simple fractures, the additional use of a rim plate may offer limited benefit relative to the increased surgical time and effort. Thus, the advantages of this technique should be weighed carefully against its invasiveness and operative complexity. Lastly, in case 1, two 5.0-mm interlocking screws of the IM nail were inserted through the proximal tibial plate to link the two implants. additionally, in comminuted fracture zones where screw purchase through the proximal tibial plate was not feasible, the screws achieved purchase in the IM nail. However, a limitation of this procedure is that there is currently no biomechanical evidence supporting this linking technique; therefore, further biomechanical studies are warranted.
The rim plate-assisted NPC technique may be a practical solution for achieving early rehabilitation and avoiding soft tissue complications in patients with complex tibial plateau-to-diaphyseal fractures, particularly those with bilateral lower limb injuries and multiple open wounds. The rim plate helps simplify the NPC procedure and provides supplemental fixation for the articular component of the plateau fracture. This technique may aid surgeons in managing these challenging injuries more effectively.

Author contributions

All the work was done by Whee Sung Son.

Conflicts of interest

No potential conflict of interest relevant to this article was reported.

Funding

This work was supported by the 2024 Yeungnam University Research Grant (224A580029).

Data availability

Not applicable.

Acknowledgments

The research support team at Yeungnam University College of Medicine supported the medical illustration for this study.

Supplementary materials

None.

Fig. 1.
Preoperative photographs and imaging studies. (A) Clinical photograph showing multiple open wounds on the anteromedial aspect of the lower leg. (B) Plain radiograph of a complex tibial plateau-to-diaphysis fracture. (C) Three-dimensional computed tomography (3D-CT) image revealing a comminuted plateau-to-diaphysis tibial fracture. (D) Coronal CT image demonstrating a bicondylar tibial plateau fracture. (E) Sagittal CT image showing posterolateral and anteromedial tibial plateau fractures. (F) 3D-CT image illustrating the overall fracture morphology of the tibial plateau.
jmt-2025-00290f1.jpg
Fig. 2.
Fluoroscopic images and schematic illustrations of the rim plate-assisted intramedullary nail-plate combination technique. (A, B) A contoured 2.7-mm variable-angle locking compression plate (VA-LCP) was applied to the posterolateral plateau via a modified anterolateral approach, followed by anterior-to-posterior compression (red arrows). (C, D) A second 2.7-mm VA-LCP was fixed to the anteromedial plateau, unifying the articular fragments into a single segment. (E) A bone clamp was used to maintain reduction during reaming and nail insertion. (F, G) A 4.5-mm proximal tibia plate was applied, with 5.0-mm interlocking screws (asterisks) linking the plate to the intramedullary nail using the aiming arm guide.
jmt-2025-00290f2.jpg
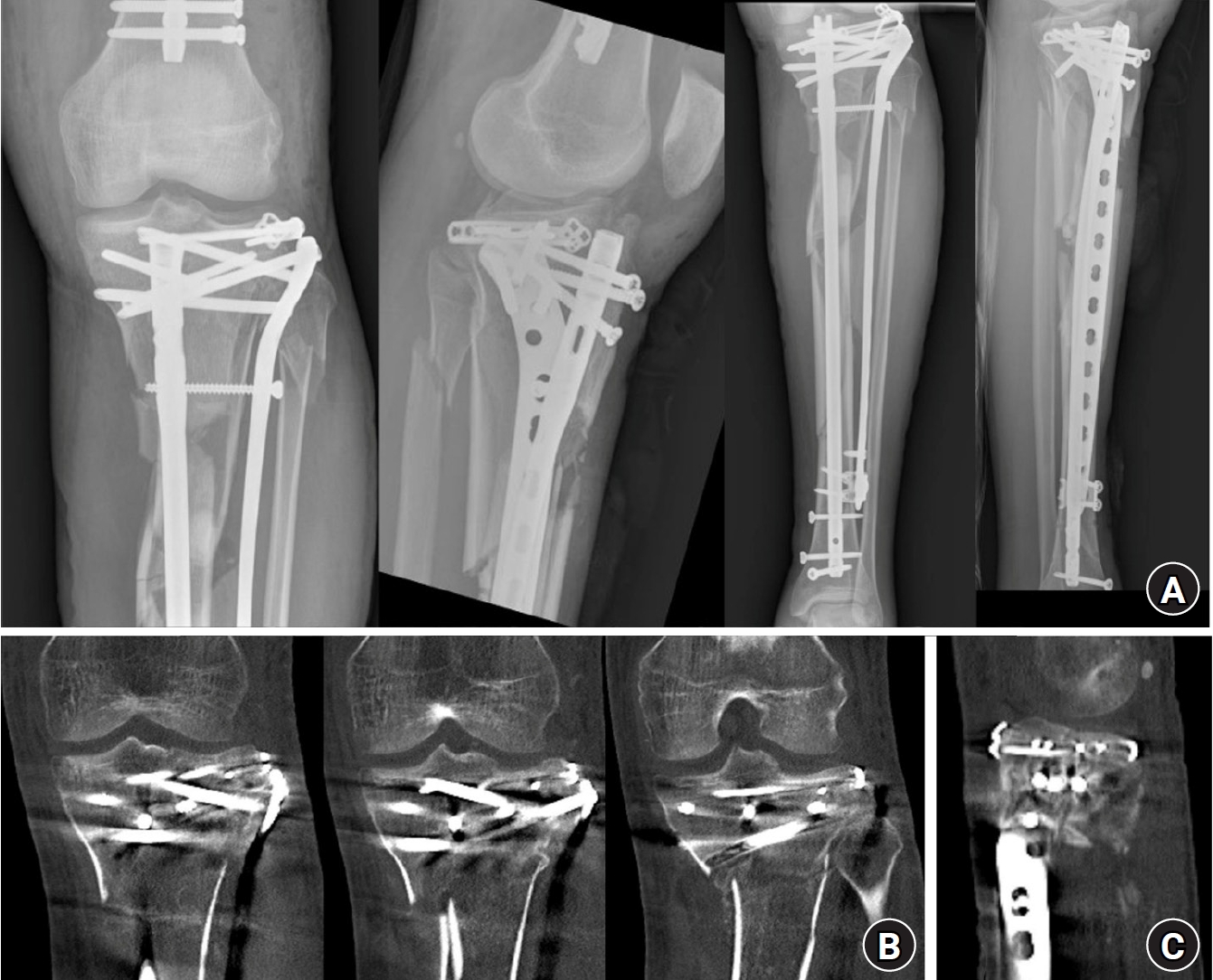
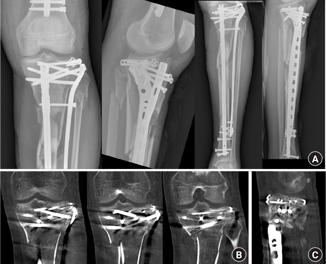
Fig. 3.
Postoperative plain radiographs and computed tomography (CT) images. (A) Postoperative plain radiograph. (B) Axial CT image confirming that screws from the rim plate did not interfere with the intramedullary nail trajectory. (C) Coronal CT image after fixation. (D) Sagittal CT image after fixation.
jmt-2025-00290f3.jpg
Fig. 4.
Follow-up plain radiographs and clinical photographs taken 6 weeks and 1 year after surgery. (A) Plain radiographs 6 weeks postoperatively. (B) Clinical photograph showing the patient ambulating with a walker 6 weeks after surgery. (C) Plain radiographs taken 1 year postoperatively. (D) Clinical photographs 1 year after surgery showing good knee joint range-of-motion and the ability to perform squatting exercises.
jmt-2025-00290f4.jpg
Fig. 5.
Preoperative photographs, plain radiographs, and computed tomography (CT) images. (A) Clinical photograph showing compartment syndrome of the lower leg with multiple necrotic skin contusions. (B) Preoperative plain radiograph. (C) Preoperative three-dimensional CT image. Preoperative coronal (D), sagittal (E), and axial. (F) CT images demonstrating depression and splitting of the lateral tibial plateau.
jmt-2025-00290f5.jpg
Fig. 6.
Fluoroscopic images and schematic illustrations of the rim plate-assisted intramedullary nail and plate combination technique. (A) Lateral plateau depression was elevated. (B, C) A contoured 2.7-mm variable-angle locking compression plate was applied with medial-to-lateral compression and fixed to unify the plateau into a single segment. (D) Intramedullary nailing was performed via the suprapatellar approach. (E) Alignment was confirmed with a rod. (F) A 4.5-mm proximal lateral tibia plate was added for final fixation.
jmt-2025-00290f6.jpg
Fig. 7.
Postoperative plain radiograph and computed tomography (CT) images. (A) Postoperative plain radiograph. (B) Coronal and (C) sagittal CT images after fixation.
jmt-2025-00290f7.jpg
Fig. 8.
Follow-up plain radiographs and clinical photographs taken 6 weeks and 1 year 6 months after surgery. (A) Plain radiographs 6 weeks postoperatively. (B) Clinical photograph showing the patient walking independently 6 weeks after surgery. (C) Plain radiographs 1 year 6 months postoperatively. (D) Clinical photographs 1 year 6 months after surgery showing good knee range-of-motion and the ability to perform squatting exercises.
jmt-2025-00290f8.jpg
  • 1. Rojas DG, Pesantez R, Zamorano A, et al. The “umbrella” technique: reducing hoop stress during suprapatellar nailing in complex proximal tibial fractures. Eur J Orthop Surg Traumatol 2025;35:61.ArticlePubMedPDF
  • 2. Kubiak EN, Camuso MR, Barei DP, Nork SE. Operative treatment of ipsilateral noncontiguous unicondylar tibial plateau and shaft fractures: combining plates and nails. J Orthop Trauma 2008;22:560-5.ArticlePubMed
  • 3. Wright DJ, Etiz B, Scolaro JA. Combined plate and nail fixation of bicondylar tibial plateau fractures. Injury 2021;52:3104-10.ArticlePubMed
  • 4. Marks D, Dulas M, Egbe S, Dahm J, Christiano A, Strelzow J. Plate nail constructs for complex proximal tibia fractures. Trauma Case Rep 2025;58:101218.ArticlePubMedPMC
  • 5. Lim S, Song HK, Kim TH, Park DY, Lee JW, Chung JY. Suprapatellar intramedullary nail combined with screw fixation has comparable surgical outcomes to minimally invasive locking plate fixation in ipsilateral tibial plateau and shaft fractures. Arch Orthop Trauma Surg 2024;144:673-81.ArticlePubMedPDF
  • 6. Prall WC, Rieger M, Fürmetz J, et al. Schatzker II tibial plateau fractures: anatomically precontoured locking compression plates seem to improve radiological and clinical outcomes. Injury 2020;51:2295-301.ArticlePubMed
  • 7. Cho JW, Kim J, Cho WT, et al. Approaches and fixation of the posterolateral fracture fragment in tibial plateau fractures: a review with an emphasis on rim plating via modified anterolateral approach. Int Orthop 2017;41:1887-97.ArticlePubMedPDF
  • 8. Cho JW, Samal P, Jeon YS, Oh CW, Oh JK. Rim plating of posterolateral fracture fragments (PLFs) through a modified anterolateral approach in tibial plateau fractures. J Orthop Trauma 2016;30:e362-8.ArticlePubMed
  • 9. Yoon YC, Oh JK, Oh CW, Sahu D, Hwang JH, Cho JW. Inside out rafting K-wire technique for tibial plateau fractures. Arch Orthop Trauma Surg 2012;132:233-7.ArticlePubMedPDF

Figure & Data

REFERENCES

    Citations

    Citations to this article as recorded by  

      • ePub LinkePub Link
      • Cite
        CITE
        export Copy Download
        Close
        Download Citation
        Download a citation file in RIS format that can be imported by all major citation management software, including EndNote, ProCite, RefWorks, and Reference Manager.

        Format:
        • RIS — For EndNote, ProCite, RefWorks, and most other reference management software
        • BibTeX — For JabRef, BibDesk, and other BibTeX-specific software
        Include:
        • Citation for the content below
        Rim plate-assisted intramedullary nail and plate combination technique for complex tibial plateau-to-diaphysis fractures: a technical note and case series
        J Musculoskelet Trauma. 2026;39(1):62-71.   Published online December 4, 2025
        Close
      • XML DownloadXML Download
      Figure
      • 0
      • 1
      • 2
      • 3
      • 4
      • 5
      • 6
      • 7
      We recommend
      Rim plate-assisted intramedullary nail and plate combination technique for complex tibial plateau-to-diaphysis fractures: a technical note and case series
      Image Image Image Image Image Image Image Image
      Fig. 1. Preoperative photographs and imaging studies. (A) Clinical photograph showing multiple open wounds on the anteromedial aspect of the lower leg. (B) Plain radiograph of a complex tibial plateau-to-diaphysis fracture. (C) Three-dimensional computed tomography (3D-CT) image revealing a comminuted plateau-to-diaphysis tibial fracture. (D) Coronal CT image demonstrating a bicondylar tibial plateau fracture. (E) Sagittal CT image showing posterolateral and anteromedial tibial plateau fractures. (F) 3D-CT image illustrating the overall fracture morphology of the tibial plateau.
      Fig. 2. Fluoroscopic images and schematic illustrations of the rim plate-assisted intramedullary nail-plate combination technique. (A, B) A contoured 2.7-mm variable-angle locking compression plate (VA-LCP) was applied to the posterolateral plateau via a modified anterolateral approach, followed by anterior-to-posterior compression (red arrows). (C, D) A second 2.7-mm VA-LCP was fixed to the anteromedial plateau, unifying the articular fragments into a single segment. (E) A bone clamp was used to maintain reduction during reaming and nail insertion. (F, G) A 4.5-mm proximal tibia plate was applied, with 5.0-mm interlocking screws (asterisks) linking the plate to the intramedullary nail using the aiming arm guide.
      Fig. 3. Postoperative plain radiographs and computed tomography (CT) images. (A) Postoperative plain radiograph. (B) Axial CT image confirming that screws from the rim plate did not interfere with the intramedullary nail trajectory. (C) Coronal CT image after fixation. (D) Sagittal CT image after fixation.
      Fig. 4. Follow-up plain radiographs and clinical photographs taken 6 weeks and 1 year after surgery. (A) Plain radiographs 6 weeks postoperatively. (B) Clinical photograph showing the patient ambulating with a walker 6 weeks after surgery. (C) Plain radiographs taken 1 year postoperatively. (D) Clinical photographs 1 year after surgery showing good knee joint range-of-motion and the ability to perform squatting exercises.
      Fig. 5. Preoperative photographs, plain radiographs, and computed tomography (CT) images. (A) Clinical photograph showing compartment syndrome of the lower leg with multiple necrotic skin contusions. (B) Preoperative plain radiograph. (C) Preoperative three-dimensional CT image. Preoperative coronal (D), sagittal (E), and axial. (F) CT images demonstrating depression and splitting of the lateral tibial plateau.
      Fig. 6. Fluoroscopic images and schematic illustrations of the rim plate-assisted intramedullary nail and plate combination technique. (A) Lateral plateau depression was elevated. (B, C) A contoured 2.7-mm variable-angle locking compression plate was applied with medial-to-lateral compression and fixed to unify the plateau into a single segment. (D) Intramedullary nailing was performed via the suprapatellar approach. (E) Alignment was confirmed with a rod. (F) A 4.5-mm proximal lateral tibia plate was added for final fixation.
      Fig. 7. Postoperative plain radiograph and computed tomography (CT) images. (A) Postoperative plain radiograph. (B) Coronal and (C) sagittal CT images after fixation.
      Fig. 8. Follow-up plain radiographs and clinical photographs taken 6 weeks and 1 year 6 months after surgery. (A) Plain radiographs 6 weeks postoperatively. (B) Clinical photograph showing the patient walking independently 6 weeks after surgery. (C) Plain radiographs 1 year 6 months postoperatively. (D) Clinical photographs 1 year 6 months after surgery showing good knee range-of-motion and the ability to perform squatting exercises.
      Rim plate-assisted intramedullary nail and plate combination technique for complex tibial plateau-to-diaphysis fractures: a technical note and case series

      J Musculoskelet Trauma : Journal of Musculoskeletal Trauma
      Close layer
      TOP