Skip Navigation
Skip to contents

J Musculoskelet Trauma : Journal of Musculoskeletal Trauma

OPEN ACCESS

Articles

Page Path
HOME > J Musculoskelet Trauma > Volume 21(2); 2008 > Article
Review Article
Minimally Invasive Plate Osteosynthesis in Pediatric Femoral Fractures: What is an Optimal Treatment in a Femoral Fracture of 11 Years-old
Chang-Wug Oh, M.D.
Journal of the Korean Fracture Society 2008;21(2):169-175.
DOI: https://doi.org/10.12671/jkfs.2008.21.2.169
Published online: April 30, 2008

Department of Orthopaedic Surgery, School of Medicine, Kyungpook National University, Daegu, Korea.

Address reprint requests to: Chang-Wug Oh, M.D. Department of Orthopaedic Surgery, School of Medicine, Kyungpook National University, 101, Dongin-dong 2-ga, Jung-gu, Daegu 700-422, Korea. Tel: 82-53-420-5630, Fax: 82-53-422-6605, cwoh@knu.ac.kr

Copyright © 2008 The Korean Fracture Society. All rights reserved.

This is an Open Access article distributed under the terms of the Creative Commons Attribution Non-Commercial License (http://creativecommons.org/licenses/by-nc/3.0/) which permits unrestricted non-commercial use, distribution, and reproduction in any medium, provided the original work is properly cited.

  • 938 Views
  • 16 Download
  • 1 Crossref
prev next
  • 1. Ağuş H, Kalenderer O, Eryanilmaz G, Omeroğlu H. Biological internal fixation of comminuted femur shaft fractures by bridge plating in children. J Pediatr Orthop, 2003;23:184-189.Article
  • 2. Aronson J, Tursky EA. External fixation of femur fractures in children. J Pediatr Orthop, 1992;12:157-163.Article
  • 3. Beaty JH, Austin SM, Warner WC, Canale ST, Nichols L. Interlocking intramedullary nailing of femoral-shaft fractures in adolescents: preliminary results and complications. J Pediatr Orthop, 1994;14:178-183.Article
  • 4. Caird MS, Mueller KA, Puryear A, Farley FA. Compression plating of pediatric femoral shaft fractures. J Pediatr Orthop, 2003;23:448-452.Article
  • 5. Flynn JM, Hresko T, Reynolds RA, Blasier RD, Davidson R, Kasser J. Titanium elastic nails for pediatric femur fractures: a multicenter study of early results with analysis of complications. J Pediatr Orthop, 2001;21:4-8.Article
  • 6. Galpin RD, Willis RB, Sabano N. Intramedullary nailing of pediatric femoral fractures. J Pediatr Orthop, 1994;14:184-189.Article
  • 7. Greisberg J, Bliss MJ, Eberson CP, Solga P, d'Amato C. Social and economic benefits of flexible intramedullary nails in the treatment of pediatric femoral shaft fractures. Orthopedics, 2002;25:1067-1070.Article
  • 8. Heinrich SD, Drvaric DM, Darr K, MacEwen GD. The operative stabilization of pediatric diaphyseal femur fractures with flexible intramedullary nails: a prospective analysis. J Pediatr Orthop, 1994;14:501-507.Article
  • 9. Herndon WA, Mahnken RF, Yngve DA, Sullivan JA. Management of femoral shaft fractures in the adolescent. J Pediatr Orthop, 1989;9:29-32.Article
  • 10. Hughes BF, Sponseller PD, Thompson JD. Pediatric femur fractures: effects of spica cast treatment on family and community. J Pediatr Orthop, 1995;15:457-460.Article
  • 11. Kanlic EM, Anglen JO, Smith DG, Morgan SJ, Pesantez RF. Advantages of submuscular bridge plating for complex pediatric femur fractures. Clin Orthop Relat Res, 2004;426:244-251.Article
  • 12. Kregor PJ, Song KM, Routt ML Jr, Sangeorzan BJ, Liddell RM, Hansen ST Jr. Plate fixation of femoral shaft fractures in multiply injured children. J Bone Joint Surg Am, 1993;75:1774-1780.Article
  • 13. Ligier JN, Metaizeau JP, Prevot J, Lascombes P. Elastic stable intramedullary nailing of femoral shaft fractures in children. J Bone Joint Surg Br, 1988;70:74-77.ArticlePDF
  • 14. Luhmann SJ, Schootman M, Schoenecker PL, Dobbs MB, Gordon JE. Complications of titanium elastic nails for pediatric femoral shaft fractures. J Pediatr Orthop, 2003;23:443-447.Article
  • 15. Narayanan UG, Hyman JE, Wainwright AM, Rang M, Alman BA. Complications of elastic stable intramedullary nail fixation of pediatric femoral fractures, and how to avoid them. J Pediatr Orthop, 2004;24:363-369.Article
  • 16. Oh CW, Ihn JC, Park BC, et al. Minimally invasive plate osteosynthesis for periarticular tibial fractures. J Korean Orthop Assoc, 2001;36:449-453.ArticlePDF
  • 17. Oh CW, Park BC, Kim PT, Kyung HS, Kim SJ, Ihn JC. Retrograde flexible intramedullary nailing in children's femoral fractures. Int Orthop, 2002;26:52-55.ArticlePDF
  • 18. Oh CW, Song HR, Jeon IH, Min WK, Park BC. Nail-assisted percutaneous plating of pediatric femoral fractures. Clin Orthop Relat Res, 2007;456:176-181.Article
  • 19. O'Malley DE, Mazur JM, Cummings RJ. Femoral head avascular necrosis associated with intramedullary nailing in adolescent. J Pediatr Orthop, 1995;15:21-23.
  • 20. Perren SM. Evolution of the internal fixation of long bone fractures. The scientific basis of biological internal fixation: choosing a new balance between stability and biology. J Bone Joint Surg Br, 2002;84:1093-1110.
  • 21. Raney EM, Ogden JA, Grogan DP. Premature greater trochanteric epiphysiodesis secondary to intramedullary femoral rodding. J Pediatr Orthop, 1993;13:516-520.Article
  • 22. Reeves RB, Ballard RI, Hughes JL. Internal fixation versus traction and casting of adolescent femoral shaft fractures. J Pediatr Orthop, 1990;10:592-595.Article
  • 23. Skaggs DL, Leet AI, Money MD, Shaw BA, Hale JM, Tolo VT. Secondary fractures associated with external fixation in pediatric femur fractures. J Pediatr Orthop, 1999;19:582-586.Article
  • 24. Song HR, Oh CW, Shin HD, et al. Treatment of femoral shaft fractures in young children: comparison between conservative treatment and retrograde flexible nailing. J Pediatr Orthop B, 2004;13:275-280.Article
  • 25. Stans AA, Morrissy RT, Renwick SE. Femoral shaft fracture treatment in patients age 6 to 16 years. J Pediatr Orthop, 1999;19:222-228.Article
  • 26. Ziv I, Rang M. Treatment of femoral fracture in the child with head injury. J Bone Joint Surg Br, 1983;65:276-278.ArticlePDF
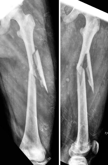
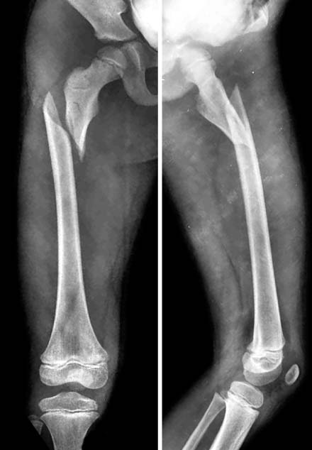
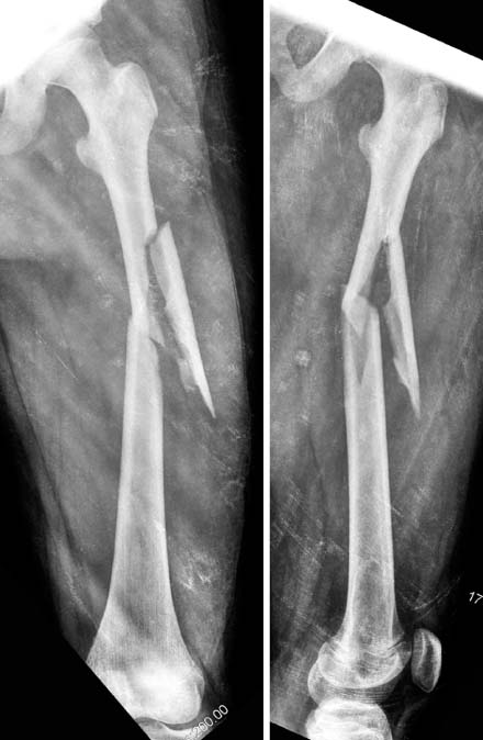
Fig. 1

A femoral shaft fracture with a butterfly fragment in 11 years-old girl.

jkfs-21-169-g001.jpg
Fig. 2

When flexible nails are remained too long distally, they will protrude the skin and soft tissue (arrow) and it provokes the infection and knee stiffness.

jkfs-21-169-g002.jpg
Fig. 3

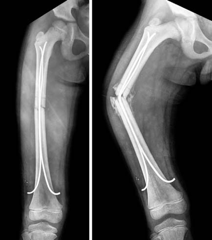
Although the femoral fracture was well reduced by flexible nails (left), the nails were bent and varus deformity occurred because the patient had a weight-bearing too early (right).

jkfs-21-169-g003.jpg
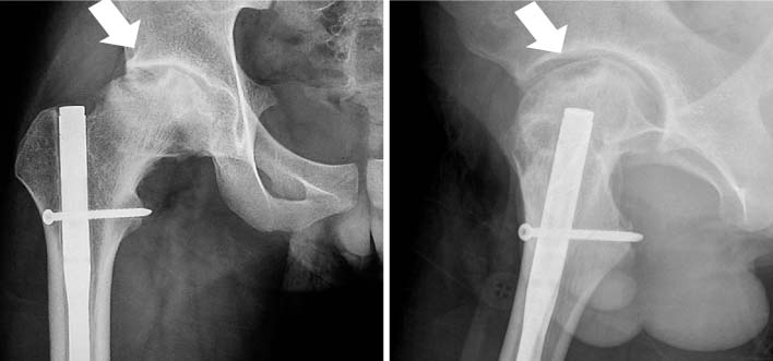
Fig. 4

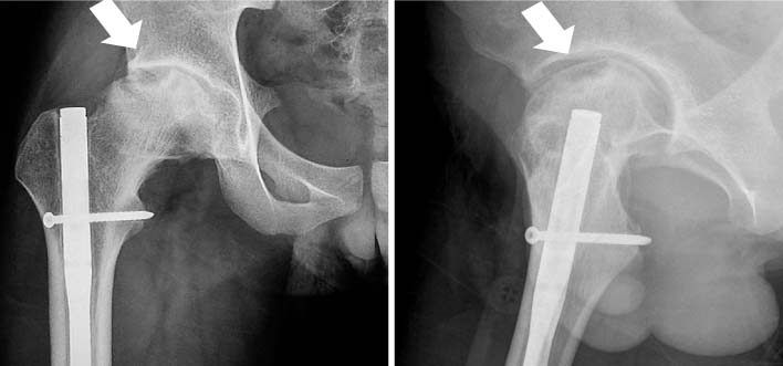
After the rigid interlocking nailing of femoral shaft fracture in an adolescent, an osteonecrosis of the femoral head occurred (arrow). This picture was from the courtesy of Dr. Byun Young-Soo in Daegu Fatima Hospital.

jkfs-21-169-g004.jpg
Fig. 5

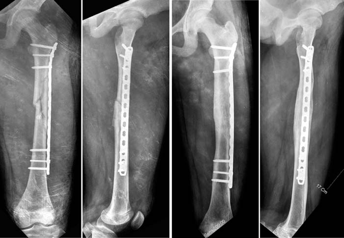
These are the sequence of operatingprocedure in the suggested patient of Fig. 1. After the temporary reduction of femoral fracture with flexible nails, the plate was introduced through the submuscular tunnel. Then, the locking screws were fixed at the proximal and distal sides of the plate. The fracture site was not open to preserve the biology. The flexible nail makes an easier reduction of fracture, which facilitates the minimally invasive plate osteosynthesis (MIPO) procedure.

jkfs-21-169-g005.jpg
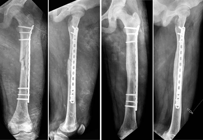
Fig. 6

In postoperative films (left), a satisfactory reduction was achieved. The patient had a solid union, on 1 year follow-up films (right).

jkfs-21-169-g006.jpg
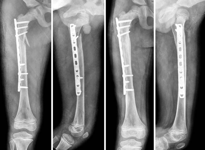
Fig. 7

A proximal femoral fracture in 7 years-old boy. In this fracture, the proximal fragment usually abducts and rotated externally. It makes the reduction very difficult. In the past, open reduction with the plate was commonly used.

jkfs-21-169-g007.jpg
Fig. 8

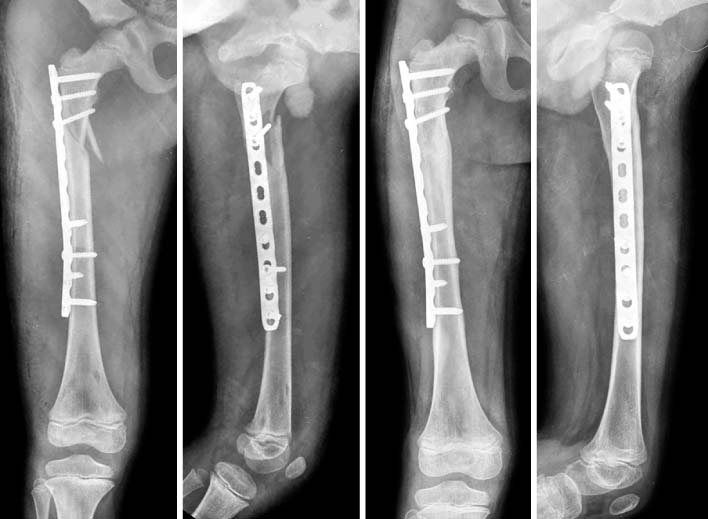
With flexible nails, the reduction was achieved. Then, the plate was fixed in the MIPO method.

jkfs-21-169-g008.jpg
Fig. 9

In postoperative films (left), a good alignment was achieved. The fracture united at 3 months postoperatively (right).

jkfs-21-169-g009.jpg

Figure & Data

REFERENCES

    Citations

    Citations to this article as recorded by  
    • Comparative Outcomes of MIPO vs ESIN in Complex Pediatric Tibial Fractures
      Danilo Leonetti, Gabriele Giuca, Daniela Alessia Marletta, Giovanni Marrara, Biagio Zampogna, Matteo Nanni, Ilaria Sanzarello
      Journal of Pediatric Orthopaedics.2026; 46(4): e328.     CrossRef

    • Cite
      CITE
      export Copy Download
      Close
      Download Citation
      Download a citation file in RIS format that can be imported by all major citation management software, including EndNote, ProCite, RefWorks, and Reference Manager.

      Format:
      • RIS — For EndNote, ProCite, RefWorks, and most other reference management software
      • BibTeX — For JabRef, BibDesk, and other BibTeX-specific software
      Include:
      • Citation for the content below
      Minimally Invasive Plate Osteosynthesis in Pediatric Femoral Fractures: What is an Optimal Treatment in a Femoral Fracture of 11 Years-old
      J Korean Fract Soc. 2008;21(2):169-175.   Published online April 30, 2008
      Close
    • XML DownloadXML Download
    Figure
    • 0
    • 1
    • 2
    • 3
    • 4
    • 5
    • 6
    • 7
    • 8
    We recommend
    Minimally Invasive Plate Osteosynthesis in Pediatric Femoral Fractures: What is an Optimal Treatment in a Femoral Fracture of 11 Years-old
    Image Image Image Image Image Image Image Image Image
    Fig. 1 A femoral shaft fracture with a butterfly fragment in 11 years-old girl.
    Fig. 2 When flexible nails are remained too long distally, they will protrude the skin and soft tissue (arrow) and it provokes the infection and knee stiffness.
    Fig. 3 Although the femoral fracture was well reduced by flexible nails (left), the nails were bent and varus deformity occurred because the patient had a weight-bearing too early (right).
    Fig. 4 After the rigid interlocking nailing of femoral shaft fracture in an adolescent, an osteonecrosis of the femoral head occurred (arrow). This picture was from the courtesy of Dr. Byun Young-Soo in Daegu Fatima Hospital.
    Fig. 5 These are the sequence of operatingprocedure in the suggested patient of Fig. 1. After the temporary reduction of femoral fracture with flexible nails, the plate was introduced through the submuscular tunnel. Then, the locking screws were fixed at the proximal and distal sides of the plate. The fracture site was not open to preserve the biology. The flexible nail makes an easier reduction of fracture, which facilitates the minimally invasive plate osteosynthesis (MIPO) procedure.
    Fig. 6 In postoperative films (left), a satisfactory reduction was achieved. The patient had a solid union, on 1 year follow-up films (right).
    Fig. 7 A proximal femoral fracture in 7 years-old boy. In this fracture, the proximal fragment usually abducts and rotated externally. It makes the reduction very difficult. In the past, open reduction with the plate was commonly used.
    Fig. 8 With flexible nails, the reduction was achieved. Then, the plate was fixed in the MIPO method.
    Fig. 9 In postoperative films (left), a good alignment was achieved. The fracture united at 3 months postoperatively (right).
    Minimally Invasive Plate Osteosynthesis in Pediatric Femoral Fractures: What is an Optimal Treatment in a Femoral Fracture of 11 Years-old

    J Musculoskelet Trauma : Journal of Musculoskeletal Trauma
    Close layer
    TOP