Department of Orthopaedic Surgery, Pusan National University School of Medicine, Busan, Korea.
Copyright © 2016 The Korean Fracture Society. All rights reserved.
This is an Open Access article distributed under the terms of the Creative Commons Attribution Non-Commercial License (http://creativecommons.org/licenses/by-nc/4.0) which permits unrestricted non-commercial use, distribution, and reproduction in any medium, provided the original work is properly cited.
| Characteristic | Group 1* | Group 2† | p-value |
|---|---|---|---|
| Total patients | 72 | 92 | |
| Age at surgery (yr) | 74.3±9.0 (65-95) | 74.5±9.6 (65-96) | 0.897 |
| Gender (male) | 25 (34.7) | 29 (31.5) | 0.738 |
| Affected hip (right) | 32 (44.4) | 42 (45.7) | 1.000 |
| Anesthesia (general) | 33 (45.8) | 43 (46.7) | 1.000 |
| Follow-up (mo) | 11.0±4.8 (6-36) | 12.1±7.2 (6-36) | 0.256 |
| AO type | 0.214 | ||
| A11, 12, 13 | 25 (34.7) | 37 (40.2) | |
| A21, 22, 23 | 37 (51.4) | 49 (53.3) | |
| A31, 32, 33 | 10 (13.9) | 6 (6.5) | |
| ASA | 0.915 | ||
| Class 1 | 18 (25.0) | 21 (22.8) | |
| Class 2 | 32 (44.4) | 43 (46.7) | |
| Class 3 | 22 (30.6) | 28 (30.4) | |
| Class 4 | 0 (0) | 0 (0) | |
| Mobility score before injury | 6.1±1.9 (1-9) | 6.2±1.9 (1-9) | 0.742 |
Values are presented as number only, mean±standard deviation (range), or number (%). *A group underwent InterTAN nail. †A group underwent proximal femoral nail antirotation 2. ASA: American Society of Anesthesiologists.
| Variable | Group 1* (n=72) | Group 2† (n=92) | p-value |
|---|---|---|---|
| Operative time (min) | 56.2±14.4 (50-120) | 54.3±13.7 (50-120) | 0.388 |
| Blood loss (ml) | 263.9±161.7 (50-700) | 283.2±189.7 (50-700) | 0.493 |
| Postoperative drainage | 120.1 (30-550) | 110.3 (50-300) | 0.078 |
| Postoperative reduction | |||
| Anatomical | 50 (69.4) | 62 (67.4) | 0.234 |
| Acceptable | 20 (27.8) | 30 (32.6) | |
| Poor | 2 (2.8) | 0 (0) | |
| Implant position | |||
| Optimal | 60 (83.3) | 81 (88.0) | 0.498 |
| Suboptimal | 12 (16.7) | 11 (12.0) | |
| TAD (mm) | 21.7±3.3 (15-30) | 20.7±2.3 (15-30) | 0.020 |
| TAD >25 mm | 13 (18.1) | 5 (5.4) | 0.012 |
| Sliding of proximal femur (mm) | 4.1±2.3 (1.0-12.6) | 6.4±4.0 (1.2-20.2) | <0.001 |
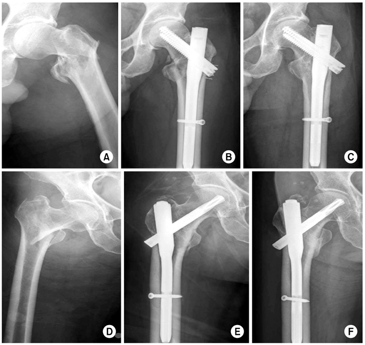
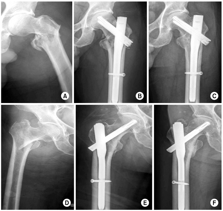
| Bony union | 71 (98.6) | 91 (98.9) | >0.999 |
| Time to union (mo) | 5.0±2.01 (3-12) | 5.3±2.1 (3-12) | 0.379 |
Values are presented as mean±standard deviation (range), median (range), or number (%). *A group underwent InterTAN nail. †A group underwent proximal femoral nail antirotation 2. TAD: Tip apex distance.
| Complication | Group 1* (n=72) | Group 2† (n=92) | p-value |
|---|---|---|---|
| Intraoperative complication | |||
| Lateral wall fracture | 2 (2.8) | 13 (14.1) | 0.014 |
| Fish-mouth opening | 4 (5.6) | 5 (5.4) | >0.999 |
| Postoperative complication | |||
| Hematoma formation | 2 (2.8) | 1 (1.1) | 0.582 |
| Superficial infection | 2 (2.8) | 2 (2.2) | >0.999 |
| Excessive lateral protrusion | 2 (2.8) | 11 (12.0) | 0.040 |
| Deep infection | 1 (1.4) | 1 (1.1) | >0.999 |
| General complication | |||
| Pneumonia | 8 (11.1) | 11 (12.0) | 0.867 |
| Myocardial infarction | 1 (1.4) | 0 (0) | 0.439 |
| Cerebral infarction | 1 (1.4) | 1 (1.1) | >0.999 |
| Pulmonary embolism | 1 (1.4) | 0 (0) | 0.439 |
| Deep vein thrombosis | 5 (6.9) | 10 (10.9) | 0.428 |
| Severe hemoptysis | 1 (1.4) | 0 (0) | 0.439 |
| Ulcer bleeding | 1 (1.4) | 0 (0) | 0.439 |
Values are presented as number (%). *A group underwent InterTAN nail. †A group underwent proximal femoral nail antirotation 2.
| Variable | Group 1* (n=72) | Group 2† (n=92) | p-value |
|---|---|---|---|
| Harris hip score | 72.1±11.4 (38-96) | 70.2±9.9 (40-95) | 0.263 |
| Mobility score | 4.4±1.4 (1-8) | 4.5±1.4 (2-7) | 0.504 |
| Change in mobility score‡ | 1.5±1.0 (0-3) | 1.4±0.9 (0-5) | 0.359 |
Values are presented as mean±standard deviation (range). *A group underwent InterTAN nail. †A group underwent proximal femoral nail antirotation 2. ‡Mobility score before injury–mobility score at last follow-up.
Values are presented as number only, mean±standard deviation (range), or number (%). *A group underwent InterTAN nail. †A group underwent proximal femoral nail antirotation 2. ASA: American Society of Anesthesiologists.
Values are presented as mean±standard deviation (range), median (range), or number (%). *A group underwent InterTAN nail. †A group underwent proximal femoral nail antirotation 2. TAD: Tip apex distance.
Values are presented as number (%). *A group underwent InterTAN nail. †A group underwent proximal femoral nail antirotation 2.
Values are presented as mean±standard deviation (range). *A group underwent InterTAN nail. †A group underwent proximal femoral nail antirotation 2. ‡Mobility score before injury–mobility score at last follow-up.
