Department of Orthopedic Surgery, Dankook University College of Medicine, Cheonan, Korea.
Copyright © 2011 The Korean Fracture Society
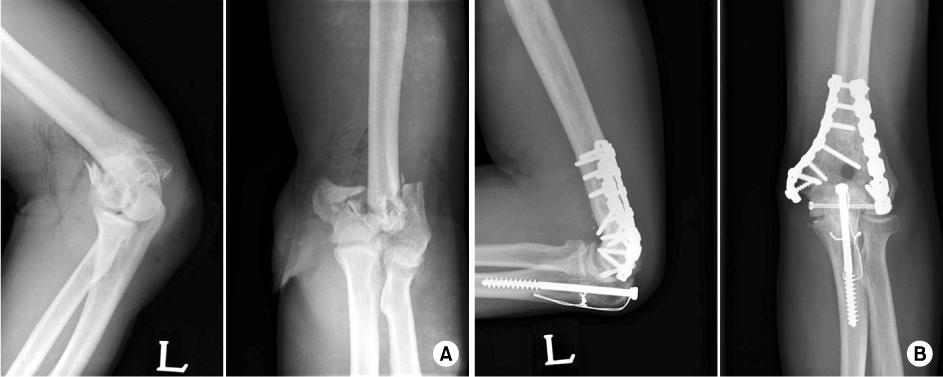
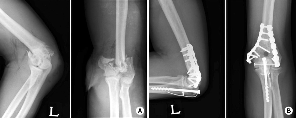
Summary of cases
*AO: AO classification, †OP day: period from injury to operation, ‡ROM: Range of motion, §MEPS: Mayo elbow performance score.
Comparison of clinical results between C2 fractures and C3 fractures
ROM: Range of motion, MEPS: Mayo elbow performance score.
Comparison of clinical results according to period of postoperativetime needed for spontaneous first elbow joint exercise
ROM: Range of motion, MEPS: Mayo elbow performance score.
*AO: AO classification, †OP day: period from injury to operation, ‡ROM: Range of motion, §MEPS: Mayo elbow performance score.
ROM: Range of motion, MEPS: Mayo elbow performance score.
ROM: Range of motion, MEPS: Mayo elbow performance score.
