Treatment of Isolated Lateral Malleolar Fractures Using Locking Compression Plate Fixation and Tension Band Wiring Fixation

Article information

J Musculoskelet Trauma. 2020;33(1):16-21
Publication date (electronic) : 2020 January 10
doi : https://doi.org/10.12671/jkfs.2020.33.1.16
Department of Orthopedic Surgery, Gwangju Veterans Hospital, Gwangju, Korea
Correspondence to: Woojin Shin, M.D. Department of Orthopedic Surgery, Gwangju Veterans Hospital, 99 Cheomdanwolbong-ro, Gwangsan-gu, Gwangju 62284, Korea Tel: +82-62-602-6162 Fax: +82-62-602-6936 E-mail: neolimp@naver.com
Received 2019 November 29; Revised 2020 January 03; Accepted 2020 January 03.

Abstract

Abstract

Purpose

The purpose of this study was to compare the clinical and radiological outcomes of locking compression plate (LCP)-screw fixation and tension band wiring (TBW) fixation in isolated lateral malleolar fractures.

Materials and Methods

From May 2016 to August 2018, 52 patients with isolated lateral malleolar fracture were retrospectively reviewed. They were divided into 30 cases of the LCP fixation group (Group I) and 22 cases of the TBW fixation group (Group II). The clinical and radiological results of those groups were compared. Pearson chi-square tests and independent t-tests were used in the statistical analysis.

Results

The mean length of the surgical incision was 8.3 cm in Group I and 4.9 cm in Group II. Radiological union was obtained at a mean of 8.4 weeks in both groups. The mean American Orthopaedic Foot and Ankle Society score was 90 (range, 85–97) and 92 (range, 85–100) in Groups I and II, respectively, at the last follow up.

Conclusion

Both the LCP-screw and TBW techniques revealed excellent results in isolated lateral malleolar fractures. The tension band technique may be a fine alternative method of fixation in the treatment of isolated lateral malleolar fracture.

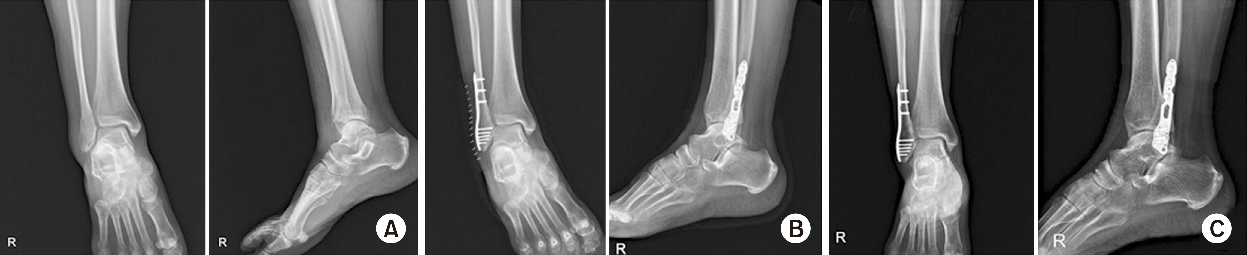
Fig. 1.

(A) A 54-year-old female patient was diagnosed with isolated lateral malleolar fracture according to the simple radiography. (B) Surgical fixation with locking-plate screw on the postoperative radiography. (C) Bone-union was achieved within 12 months of surgery.

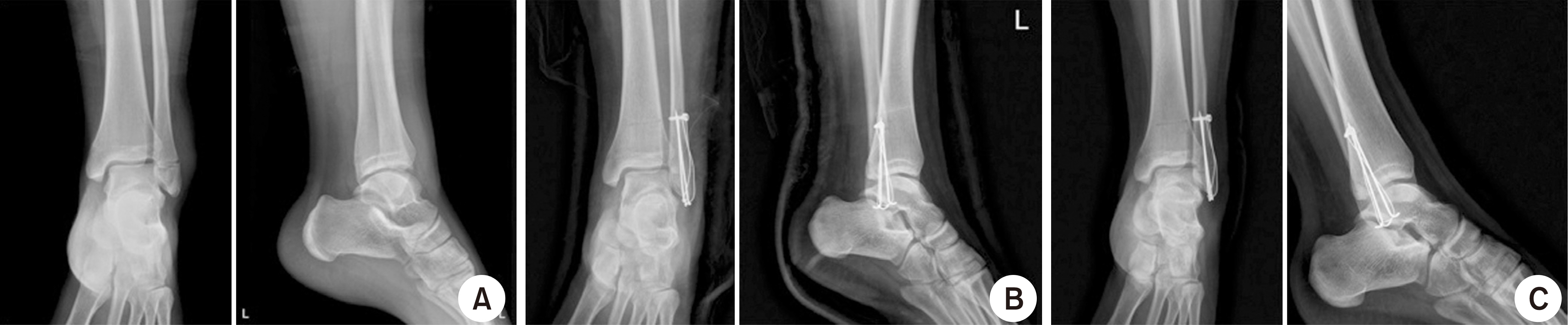
Fig. 2.

(A) A 32-year-old male patient was diagnosed with isolated lateral malleolar fracture according to the simple radiography. (B) Surgical fixation with the tension band wire on the postoperative radiography. (C) Bone-union was achieved within 12 months of surgery.

Baseline Characteristics and Demographics

Operation-Related Data Analysis

References

1. Thordarson DB, Motamed S, Hedman T, Ebramzadeh E, Bak-shian S. The effect of fibular malreduction on contact pressures in an ankle fracture malunion model. J Bone Joint Surg Am 79:1809–1815. 1997;
2. Lindsjö U. Operative treatment of ankle fracture-dislocations. A follow-up study of 306/321 consecutive cases. Clin Orthop Relat Res 199:28–38. 1985;
3. Cole PA, Craft JA. Treatment of osteoporotic ankle fractures in the elderly: surgical strategies. Orthopedics 25:427–430. 2002;
4. Ostrum RF, Litsky AS. Tension band fixation of medial malleolus fractures. J Orthop Trauma 6:464–468. 1992;
5. Kanakis TE, Papadakis E, Orfanos A, Andreadakis A, Xylouris E. Figure eight tension band in the treatment of fractures and pseudarthroses of the medial malleolus. Injury 21:393–397. 1990;
6. Kitaoka HB, Alexander IJ, Adelaar RS, Nunley JA, Myerson MS, Sanders M. Clinical rating systems for the ankle-hindfoot, midfoot, hallux, and lesser toes. Foot Ankle Int 15:349–353. 1994;
7. Bauer M, Bengnér U, Johnell O, Redlund-Johnell I. Supination-eversion fractures of the ankle joint: changes in incidence over 30 years. Foot Ankle 8:26–28. 1987;
8. Schaffer JJ, Manoli A 2nd. The antiglide plate for distal fibular fixation. A biomechanical comparison with fixation with a lateral plate. J Bone Joint Surg Am 69:596–604. 1987;
9. Segal D, Wiss DA, Whitelaw GP. Functional bracing and rehabilitation of ankle fractures. Clin Orthop Relat Res 199:39–45. 1985;
10. Belcher GL, Radomisli TE, Abate JA, Stabile LA, Trafton PG. Functional outcome analysis of operatively treated malleolar fractures. J Orthop Trauma 11:106–109. 1997;
11. Hewchuck A, Goldman F, Wargon C. The Herbert cannulated bone screw in rearfoot arthrodesis. J Foot Ankle Surg 33:266–270. 1994;
12. Michelson JD, Helgemo SL Jr. Kinematics of the axially loaded ankle. Foot Ankle Int 16:577–582. 1995;
13. Mitchell WG, Shaftan GW, Sclafani SJ. Mandatory open reduction: its role in displaced ankle fractures. J Trauma 19:602–615. 1979;
14. Thordarson DB, Markolf K, Cracchiolo A 3rd. Stability of an ankle arthrodesis fixed by cancellous-bone screws compared with that fixed by an external fixator. A biomechanical study. J Bone Joint Surg Am 74:1050–1055. 1992;
15. Weber M, Krause F. Peroneal tendon lesions caused by antiglide plates used for fixation of lateral malleolar fractures: the effect of plate and screw position. Foot Ankle Int 26:281–285. 2005;
16. Winkler B, Weber BG, Simpson LA. The dorsal antiglide plate in the treatment of Danis-Weber type-B fractures of the distal fibula. Clin Orthop Relat Res 259:204–209. 1990;
17. Gautier E, Sommer C. Guidelines for the clinical application of the LCP. Injury 34(Suppl 2):B63–B76. 2003;
18. Frigg R, Appenzeller A, Christensen R, Frenk A, Gilbert S, Schavan R. The development of the distal femur Less Invasive Stabilization System (LISS). Injury 32(Suppl 3):SC24–SC31. 2001;
19. Frigg R. Locking Compression Plate (LCP). An osteosynthesis plate based on the Dynamic Compression Plate and the Point Contact Fixator (PC-Fix). Injury, 32 Suppl 2:63–66. 2001;
20. Schulz AP, Reimers N, Wipf F, et al. Evidence based development of a novel lateral fibula plate (VariAx fibula) using a real CT bone data based optimization process during device development. Open Orthop J 6:1–7. 2012;
21. Kim HJ, Oh JK, Hwang JH, Park YH. The use of T-LCP (locking compression plate) for the treatment of the lateral malleolar fractures. Eur J Orthop Surg Traumatol 23:233–237. 2013;
22. Hahnloser D, Platz A, Amgwerd M, Trentz O. Internal fixation of distal radius fractures with dorsal dislocation: pi-plate or two 1/4 tube plates? A prospective randomized study. J Trauma 47:760–765. 1999;
23. Schepers T, Van Lieshout EM, De Vries MR, Van der Elst M. Increased rates of wound complications with locking plates in distal fibular fractures. Injury 42:1125–1129. 2011;
24. Brunner CF, Weber BG. Special techniques in internal fixation New York: Springer. p. 123–127. 1982.
25. Winkler B, Weber BG, Simpson LA. Planning and reduction technique in fracture surgery New York: Springer-Verlag. p. 735–762. 1989.
26. Mirza A, Moriarty AM, Probe RA, Ellis TJ. Percutaneous plating of the distal tibia and fibula: risk of injury to the saphenous and superficial peroneal nerves. J Orthop Trauma 24:495–498. 2010;

Article information Continued

Fig. 1.

(A) A 54-year-old female patient was diagnosed with isolated lateral malleolar fracture according to the simple radiography. (B) Surgical fixation with locking-plate screw on the postoperative radiography. (C) Bone-union was achieved within 12 months of surgery.

Fig. 2.

(A) A 32-year-old male patient was diagnosed with isolated lateral malleolar fracture according to the simple radiography. (B) Surgical fixation with the tension band wire on the postoperative radiography. (C) Bone-union was achieved within 12 months of surgery.

Table 1.

Baseline Characteristics and Demographics

  Group I (plate-screw fixation) Group II (tension band wiring) p-valu
No. of patients 30 22 0.26
Sex (male/female) 18/12 14/8 0.79
Age (yr) 43 (27–73) 46 (26–76) 0.75
Follow-up periods (mo) 16 (12–19) 14 (12–16) 0.71
Total hospital periods (d) 18.5 (14–28) 14.2 (12–23) 0.08

Values are presented as number only or mean (range).

Table 2.

Operation-Related Data Analysis

  Group I (plate-screw fixation) Group II (tension band wiring) p-value
Operation time (min) 53.4 (47–64) 47.8 (42–62) 0.87
Radiologic union (wk) 8.2 (7.3–11.2) 8.7 (7.4–12.5) 0.80
Incision length (cm) 8.3 (6.6–8.5) 4.9 (5.6–6.7) 0.0031
Dissatisfaction (implant irritation) 6 0 0.03
Dissatisfaction 3 1 0.62
(incision scar)      
Mean of AOFAS score 90 (85–97) 92 (85–100) 0.88
>90 (n) 18 16  
80–89 (n) 6 6  

Values are presented as mean (range) or number only. AOFAS: American Orthopaedic Foot and Ankle Society.